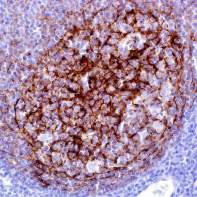
The EBV attaches itself to CD21, a 140-kD membraneprotein on B-lymphocytes that is sometimes referred to ascomplement receptor 2, C3d receptor, or Epstein-Barr virus(EBV) receptor. Normal lymph node and tonsillar tissuecontain mature B-lymphocytes and follicular dendritic cells,which are the main cells that exhibit CD21. T-lymphocytes,monocytes, and granulocytes do not express CD21. Anti-CD21 is expressed in tumours of dendritic cell origin,including follicular dendritic cell sarcoma, and is helpful inidentifying the follicular dendritic cell framework in avariety of lymphomas, especially follicular lymphomas.