CK5 6 (D5 16B4)

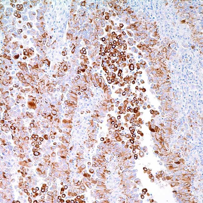
The basic, high molecular weight cytokeratin 5 (58 kDa)is expressed in the superficial, intermediate, and basalcell layers of stratified epithelia, as well as in complexepithelia, transitional epithelia, mesothelial cells, andmesothelioma. Proliferating squamous epithelium alsoexpresses Cytokeratin 6 (56 kD), a high molecularweight, basic type cytokeratin that is frequentlycombined with Cytokeratin 16. Nearly all malignantmesotheliomas have positive cytokeratin 5 and 6antibody results, but lung adeno-carcinomas hardlyever do. Both squamous and undifferentiated large-cellcarcinomas have positive expression of CK 5 and 6. Lessthan 10% of prostate, colon, and breast cancers exhibitpositive staining for this antigen. Antibodies tocytokeratin 5 and 6 have also been effectively employedas a marker of myoepithelial cells in the prostate toidentify cancer.

Ordering Information
Volume:Catalog No:
Concentrated 0.1 mLG356B
Concentrated 0.5 mLG356A
Concentrated 1 mLG356C
Prediluted 6.0 mLG356AA
Prediluted 3.0 mLG356BB
Specifications
SpeciesMouse
CloneD5/16B4
VisualisationCytoplasmic
ControlMesothelioma
Intended UseRUO
Package Insert PDFs

Please Fill the below form for Request a quote

sabung ayam online

judi bola online

slot gacor 777

slot777

judi bola online

slot Thailand

sabung ayam online

judi bola online

slot thailand

slot777

mahjong ways

sabung ayam online

slot777

live casino online

judi bola online

mahjong slot

sabung ayam online

slot thailand

judi bola online

slot777

live casino online

slot777

judi bola online

sabung ayam online

sabung ayam online

judi bola online

slot777

judi bola online

sabung ayam online

sabung ayam online

judi bola online

live casino online

slot mahjong

slot thailand

judi bola online

live casino online

sabung ayam online

slot mahjong

sabung ayam online

judi bola online

judi bola online

sabung ayam online

mahjong slot

sabung ayam online

judi bola online

judi bola online

sabung ayam online

judi bola online

situs slot gacor

sabung ayam online

mahjong slot

live casino online

judi bola online

judi bola online

sabung ayam online

live casino online

judi bola online

sabung ayam online

live casino online

mahjong slot

judi bola online

sabung ayam online

live casino online

judi bola online

slot Thailand

sabung ayam online

live casino online

slot Thailand

sabung ayam online

judi bola online

judi bola online

sabung ayam online

live casino online

slot777

slot gacor

sabung ayam online

judi bola online

live casino online

situs slot gacor

judi bola online

sabung ayam online

judi bola online

live casino online

slot mahjong

judi bola online

sabung ayam online

judi bola online

sabung ayam online

live casino online

sabung ayam online

judi bola online

mahjong slot

judi bola online

judi bola online

slot mahjong ways

sabung ayam online

judi bola online

slot zeus

live casino online

slot777

judi bola online

sabung ayam online

live casino online

slot777

judi bola online

judi bola online

sabung ayam online

live casino online

judi bola online

sabung ayam online

live casino online

judi bola online

judi bola online

live casino online

judi bola online

judi bola online

sabung ayam online

live casino online

judi bola

judi bola

sabung ayam

live casino

judi bola

judi bola

judi bola

sabung ayam

judi bola

mahjong slot

judi bola

sabung ayam

judi bola

mahjong slot

sabung ayam

sabung ayam

judi bola

judi bola

mahjong slot

sabung ayam

judi bola

sabung ayam

judi bola

sabung ayam

judi bola

live casino

sabung ayam

judi bola

live casino

sabung ayam

sabung ayam

judi bola

sabung ayam

sabung ayam

judi bola

live casino

toto slot

judi bola

slot thailand

judi bola

sabung ayam

judi bola

live casino

slot online

sabung ayam

judi bola

slot777

sabung ayam online

THOR311

THOR311

THOR311

THOR311