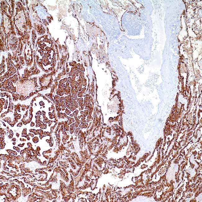
Cytokeratin 7 (OV-TL 12/30)

Cytokeratin 7 (CK7) labeling can aid in differentiating between lung,1 breast, and urothelial cancers, which are typically positive, and colon and prostate cancers, which are often devoid of CK7 expression.2-7 CK7 is a frequent marker for primary lung adenocarcinomas and is also seen in other primary lung carcinomas and non-pulmonary carcinomas.1 Furthermore, anti-cytokeratin 7 has proven helpful in the differential diagnosis of ovarian malignancies.8 Anti-cytokeratin 7 interacts with proteins that are present in the majority of epithelial cells in the biliary duct, ductal, glandular, and transitional tissues.

Ordering Information
Volume:Catalog No:
Concentrated 0.1 mLG0307 A
Concentrated 0.5 mLG0307 B
Concentrated 1 mLG0307 C
Prediluted 6.0 mLG0307 AA
Prediluted 3.0 mLG0307 BB
Specifications
SpeciesMouse
CloneOV-TL 12/30
VisualisationCytoplasmic
ControlLung adenocarcinoma (Cytoplasmic); Salivary gland (Cytoplasmic)
Intended UseRUO

Please Fill the below form for Request a quote

belajar baru pintar