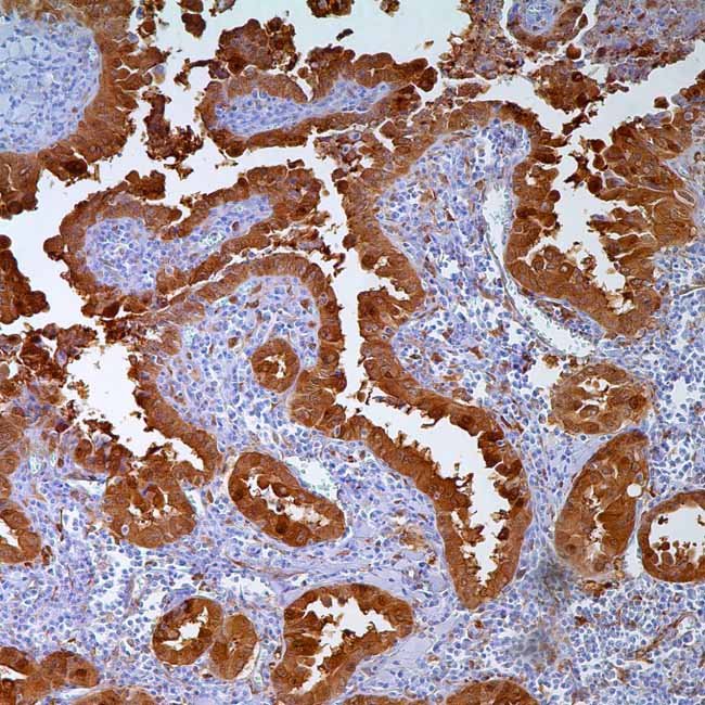
Galectin-3 (9C4)

A 30-kD protein, galectin-3 belongs to the family of lectinsthat bind beta-galactosidase. Galectin-3 is related with cellproliferation, adhesion, inflammation, mRNA processing,and apoptosis. Abnormal expression of Galectin-3 has beenlinked to malignant transformation and metastasis inthyroid, colon, and breast cancers. Neutrophil nuclei,vascular endothelium, and thyroid, breast, and coloncancers all have galectin-3 reactivity. Differentiatingbetween benign and malignant thyroid neoplasms may beaided by galectin-3. Additionally, galectin-3 might behelpful in identifying specific liver conditions.

Ordering Information
Volume:Catalog No:
Concentrated 0.1 mLG0255A
Concentrated 0.5 mLG0255B
Concentrated 1 mLG0255C
Prediluted 6.0 mLG0255AA
Prediluted 3.0 mLG0255 BB
Specifications
SpeciesMouse
Clone9C4
VisualisationCytoplasmic
Controlpapillary thyroid carcinoma
Intended UseRUO
Package Insert PDFs

Please Fill the below form for Request a quote

belajar baru pintar