HBME-1 (HBME-1)

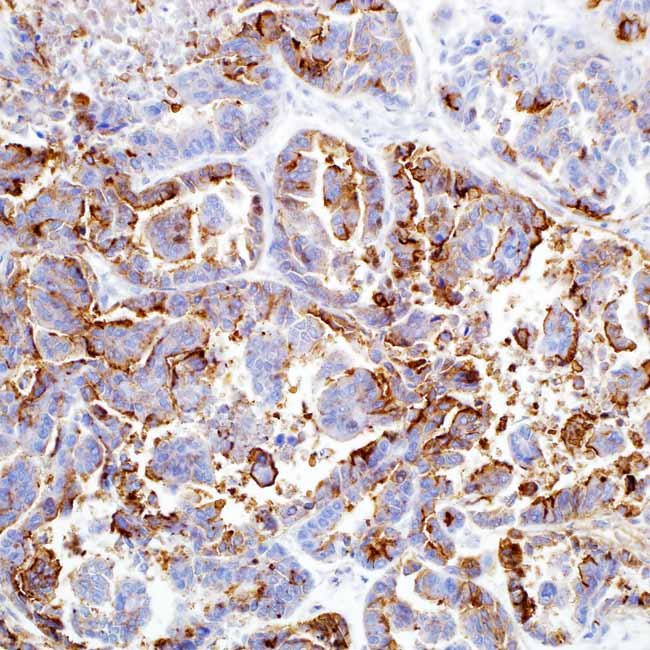
Malignant cells proliferate within the mesothelium, theprotective lining that surrounds the majority of the body’sinternal organs, in mesothelioma, a type of cancer broughton by prior asbestos exposure. Although it can also arise inthe pericardium or peritoneum, mesothelioma is mostfrequently seen in the pleura. When asbestos fibres lodgein the lung’s parenchyma, they can pass through thevisceral pleura and travel to the pleural surface, where theycan cause malignant mesothelial plaques. Mesotheliomafrequently manifests as shortness of breath, coughing, andchest pain from a buildup of fluid in the pleural area,though these symptoms may not show up for 20 to 50 yearsfollowing an initial asbestos exposure. Conventionalmedications are ineffective in treating mesothelioma sinceit is a very aggressive tumour that is typically fatal, leavingpatients with a median survival duration of 6–12 monthsfrom presentation. The function and behaviour of thistissue can be studied with the help of mesotheliomamarkers.This antibody interacts with an unidentified antigen onmesothelioma cell microvilli. Because normal mesothelialcells and epithelial mesotheliomas have a lot of lungmicrovilli on their surface, it stains both of these cells in athick membrane pattern.

Ordering Information
Volume:Catalog No:
Concentrated 0.1 mLG0283A
Concentrated 0.5 mLG0283B
Concentrated 1 mLG0283C
Prediluted 6.0 mLG0283AA
Prediluted 3.0 mLG0283BB
Specifications
SpeciesMouse
CloneHBME-1
VisualisationCell membrane
ControlMesothelial cells or mesothelioma.
Intended UseRUO
Package Insert PDFs

Please Fill the below form for Request a quote

sabung ayam online

judi bola online

slot gacor 777

slot777

judi bola online

slot Thailand

sabung ayam online

judi bola online

slot thailand

slot777

mahjong ways

sabung ayam online

slot777

live casino online

judi bola online

mahjong slot

sabung ayam online

slot thailand

judi bola online

slot777

live casino online

slot777

judi bola online

sabung ayam online

sabung ayam online

judi bola online

slot777

judi bola online

sabung ayam online

sabung ayam online

judi bola online

live casino online

slot mahjong

slot thailand

judi bola online

live casino online

sabung ayam online

slot mahjong

sabung ayam online

judi bola online

judi bola online

sabung ayam online

mahjong slot

sabung ayam online

judi bola online

judi bola online

sabung ayam online

judi bola online

situs slot gacor

sabung ayam online

mahjong slot

live casino online

judi bola online

judi bola online

sabung ayam online

live casino online

judi bola online

sabung ayam online

live casino online

mahjong slot

judi bola online

sabung ayam online

live casino online

judi bola online

slot Thailand

sabung ayam online

live casino online

slot Thailand

sabung ayam online

judi bola online

judi bola online

sabung ayam online

live casino online

slot777

slot gacor

sabung ayam online

judi bola online

live casino online

situs slot gacor

judi bola online

sabung ayam online

judi bola online

live casino online

slot mahjong

judi bola online

sabung ayam online

judi bola online

sabung ayam online

live casino online

sabung ayam online

judi bola online

mahjong slot

judi bola online

judi bola online

slot mahjong ways

sabung ayam online

judi bola online

slot zeus

live casino online

slot777

judi bola online

sabung ayam online

live casino online

slot777

judi bola online

judi bola online

sabung ayam online

live casino online

judi bola online

sabung ayam online

live casino online

judi bola online

judi bola online

live casino online

judi bola online

judi bola online

sabung ayam online

live casino online

judi bola

judi bola

sabung ayam

live casino

judi bola

judi bola

judi bola

sabung ayam

judi bola

mahjong slot

judi bola

sabung ayam

judi bola

mahjong slot

sabung ayam

sabung ayam

judi bola

judi bola

mahjong slot

sabung ayam

judi bola

sabung ayam

judi bola

sabung ayam

judi bola

live casino

sabung ayam

judi bola

live casino

sabung ayam

sabung ayam

judi bola

sabung ayam

sabung ayam

judi bola

live casino

toto slot

judi bola

slot thailand

judi bola

sabung ayam

judi bola

live casino

slot online