S100 beta (EP32)

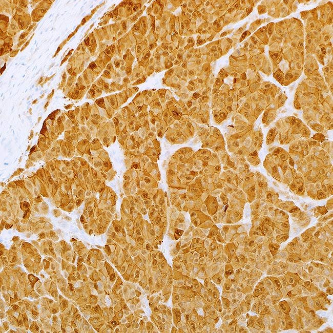
S100 calcium binding protein B, commonly known as S100 beta, belongs to the diverse S100 protein family. This particular protein functions to promote cell growth and movement while also preventing cell death and differentiation in various cell types, such as astrocytes, Schwann cells, chondrocytes, adipocytes, some neuronal groups, melanocytes, Langerhans cells, histiocytes, as well as epithelial and myoepithelial cells. S100 beta is also found in tumors that originate from these cells, which makes it a valuable marker for identifying melanoma and different types of tumors in the nervous system. While it is widespread, S100 beta has shown to be a reliable marker for detecting malignant melanoma, including its desmoplastic and metastatic forms.

Ordering Information
Volume:Catalog No:
Concentrated 0.1 mLG0449 A
Concentrated 0.5 mLG0449 B
Concentrated 1 mLG0449 C
Prediluted 6.0 mLG0449 AA
Prediluted 3.0 mLG0449 BB
Specifications
SpeciesRabbit
CloneEP32
Visualisationcytoplasmic
Controlmelanoma
Intended UseRUO

Please Fill the below form for Request a quote

belajar baru pintar