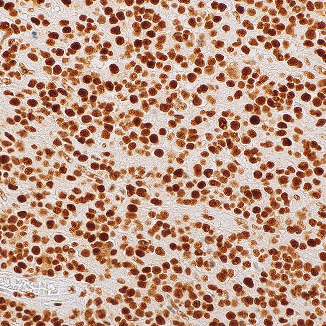
ATRX (Polyclonal)

To provide an integrated diagnosis, diffuse gliomas arecategorised according to their histological and molecularcharacteristics. TP53 mutation, IDH mutation, and 1p/19qco-deletion are examples of molecular diagnosticindicators. ATRX is a protein that remodels chromatin, andthe diffuse glioma classification algorithm may use itsmutation status as a molecular diagnostic marker. Anti-ATRX is utilised to detect mutant ATRX by comparing theexpression of ATRX in neoplastic cells to internal positivecontrols, such as neurones, glia, and endothelial cells.Grade II/III oligodendroglioma contains IDH mutant, ATRXwildtype, and 1p/19q co-deletion; p53 expression may alsobe used as a diagnostic tool. Grade II/III astrocytoma isclassified by IDH mutant, ATRX mutant, and 1p/19qretention. 1p/19q co-deletion and ATRX mutation areoften, but not always, mutually exclusive.

Ordering Information
Volume:Catalog No:
Concentrated 0.1 mLG0485A
Concentrated 0.5 mLG0485B
Concentrated 1 mLG0485C
Prediluted 6.0 mLG0485AA
Prediluted 3.0 mLG0485BB
Specifications
SpeciesRabbit
ClonePolyclonal
VisualisationNuclear
ControlAstrocytoma, Glioblastoma, Oligodendroglioma
Intended UseRUO
Package Insert PDFs

Please Fill the below form for Request a quote

sabung ayam online

judi bola online

slot gacor 777

slot777

judi bola online

slot Thailand

sabung ayam online

judi bola online

slot thailand

slot777

mahjong ways

sabung ayam online

slot777

live casino online

judi bola online

mahjong slot

sabung ayam online

slot thailand

judi bola online

slot777

live casino online

slot777

judi bola online

sabung ayam online

sabung ayam online

judi bola online

slot777

judi bola online

sabung ayam online

sabung ayam online

judi bola online

live casino online

slot mahjong

slot thailand

judi bola online

live casino online

sabung ayam online

slot mahjong

sabung ayam online

judi bola online

judi bola online

sabung ayam online

mahjong slot

sabung ayam online

judi bola online

judi bola online

sabung ayam online

judi bola online

situs slot gacor

sabung ayam online

mahjong slot

live casino online

judi bola online

judi bola online

sabung ayam online

live casino online

judi bola online

sabung ayam online

live casino online

mahjong slot

judi bola online

sabung ayam online

live casino online

judi bola online

slot Thailand

sabung ayam online

live casino online

slot Thailand

sabung ayam online

judi bola online

judi bola online

sabung ayam online

live casino online

slot777

slot gacor

sabung ayam online

judi bola online

live casino online

situs slot gacor

judi bola online

sabung ayam online

judi bola online

live casino online

slot mahjong

judi bola online

sabung ayam online

judi bola online

sabung ayam online

live casino online

sabung ayam online

judi bola online

mahjong slot

judi bola online

judi bola online

slot mahjong ways

sabung ayam online

judi bola online

slot zeus

live casino online

slot777

judi bola online

sabung ayam online

live casino online

slot777

judi bola online

judi bola online

sabung ayam online

live casino online

judi bola online

sabung ayam online

live casino online

judi bola online

judi bola online

live casino online

judi bola online

judi bola online

sabung ayam online

live casino online

judi bola

judi bola

sabung ayam

live casino

judi bola

judi bola

judi bola

sabung ayam

judi bola

mahjong slot

judi bola

sabung ayam

judi bola

mahjong slot

sabung ayam

sabung ayam

judi bola

judi bola

mahjong slot

sabung ayam

judi bola

sabung ayam

judi bola

sabung ayam

judi bola

live casino

sabung ayam

judi bola

live casino

sabung ayam

sabung ayam

judi bola

sabung ayam

sabung ayam

judi bola

live casino

toto slot

judi bola

slot thailand

judi bola

sabung ayam

judi bola

live casino

slot online

sabung ayam online