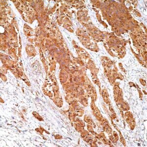
BRCA-1 (MS110)

The nuclear phosphoprotein that is encoded by the BRCA-1 gene functions as a tumour suppressor and contributesto genomic stability. DNA breaks can be repaired by normalgenes. A mutation in this gene could impair its ability torepair damage, increasing the likelihood of DNA replicationmistakes and neoplastic development. According to currentresearch, BRCA-1 may have an as-yet-unidentifiedprotective function in cells because it is highly expressed inepithelial cells that are going through high levels ofproliferation in conjunction with differentiation. Accordingto other research, total loss of BRCA-1 nuclear expressionin breast cancer and its association with poor prognosticmarkers suggest that a changed BRCA-1 phenotype couldoffer an additional prognostic factor for breast cancer andbe used as a potential rapid screening method to findBRCA-1 mutations.

Ordering Information
Volume:Catalog No:
Concentrated 0.1 mLG0223A
Concentrated 0.5 mLG0223B
Concentrated 1 mLG0223 C
Prediluted 6.0 mLG0223AA
Prediluted 3.0 mLG0223BB
Specifications
SpeciesMouse
CloneMS110
VisualisationNuclear
ControlBreast carcinoma with BRCA-1 gene mutation
Intended UseRUO
Package Insert PDFs

Please Fill the below form for Request a quote