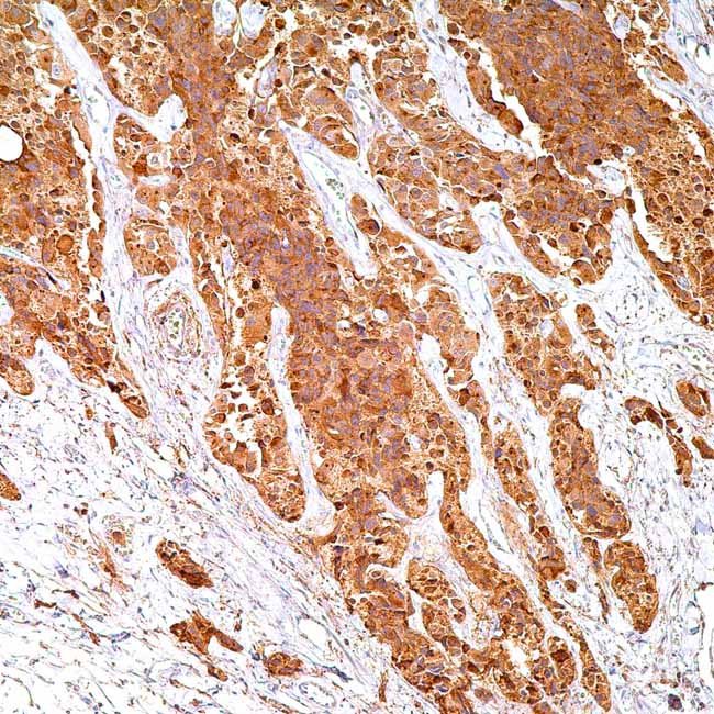
Calcitonin (Polyclonal)

Rabbit anti-human calcitonin is a refined immunoglobulinfraction derived from rabbit serum. Contaminatingantibodies have been removed through solid-phaseabsorption. Research indicates that the antibody interactswith human calcitonin and identifies C-cells in healthythyroid tissue. It is very beneficial in distinguishingmedullary carcinoma from papillary and follicular thyroidcancers. When utilized alongside an anti-thyroglobulinantibody, the majority of medullary carcinomas exhibitpositivity for calcitonin, but most papillary and follicularthyroid cancers are negative.

Ordering Information
Volume:Catalog No:
Concentrated 0.1 mLG0229A
Concentrated 0.5 mLG0229B
Concentrated 1 mLG0229C
Prediluted 6.0 mLG0229AA
Prediluted 3.0 mLG0229BB
Specifications
SpeciesRabbit
ClonePolyclonal
VisualisationCytoplasmic
ControlMedullary carcinoma or thyroid C-cells
Intended UseRUO
Package Insert PDFs

Please Fill the below form for Request a quote

belajar baru pintar