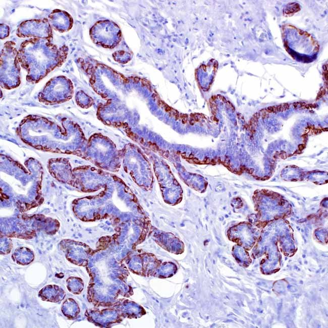
CALPONIN (CALP)

A 34-kD regulatory protein linked to actin filaments,calponin interacts with calmodulin, tropomyosin, andactin. It is unique to smooth muscle tissue andmyoepithelial cells and is involved in the mechanism ofsmooth muscle contraction. It has been discovered thatanti-calponin is a helpful marker for distinguishingbetween invasive cancer and benign sclerosing breasttumours.

Ordering Information
Volume:Catalog No:
Concentrated 0.1 mLG0231A
Concentrated 0.5 mLG0231B
Concentrated 1 mLG0231C
Prediluted 6.0 mLG0231AA
Prediluted 3.0 mLG0231BB
Specifications
SpeciesMouse
CloneCALP
VisualisationCytoplasmic
ControlAppendix, Breast, Leiomyoma, Uterus
Intended UseRUO
Package Insert PDFs

Please Fill the below form for Request a quote

belajar baru pintar