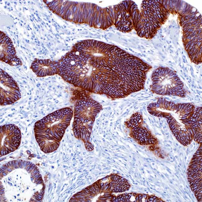
Ber-EP4 (Ber-EP4)

All epithelial cells, with the exception of the superficiallayers of squamous epithelium, hepatocyte, and parietalcells, have glycoproteins of 34 and 49 kDa on their surfaceand in their cytoplasm that Ber-EP4 can recognise. It hardlyever marks mesotheliomas and never labels mesothelialcells. It reacts with human epithelial cells in a wide rangeof ways, including simple epithelia, basal layers of stratifiednon-keratinized squamous epithelium, and the epidermis.Other comparable antibodies are MOC-31, ESA [VU-1D9],and AUA1. According to reports, Ber-EP4 can differentiatebetween pleural mesotheliomas and adenocarcinomas.

Ordering Information
Volume:Catalog No:
Concentrated 0.1 mLG0248A
Concentrated 0.5 mLG0248B
Concentrated 1 mLG0248C
Prediluted 6.0 mLG0248AA
Prediluted 3.0 mLG0248BB
Specifications
SpeciesMouse
CloneBer-EP4
VisualisationCytoplasmic, Cell membrane
ControlColon and breast cancer
Intended UseRUO
Package Insert PDFs

Please Fill the below form for Request a quote

belajar baru pintar