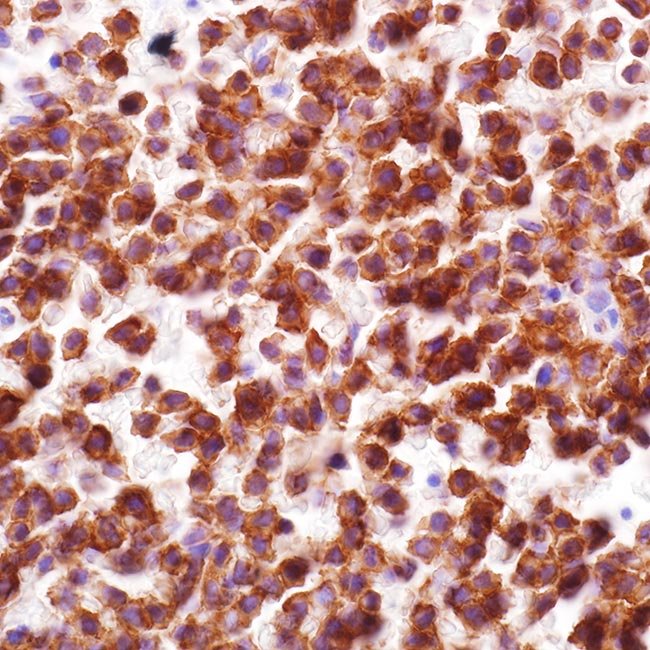
CD103 (EP206)

CD103, or αE, functions as an integrin subunit and is created from the ITGAE gene positioned on chromosome 17. Its presence is noted in practically all instances of hairy cell leukemia (HCL), but it’s generally not present in most other B-cell cancers, except for some uncommon instances of splenic marginal zone lymphoma that exhibit CD103. Research has identified CD103 within mononuclear cells located in the spaces between follicles of lymph nodes, as well as in intraepithelial cells within the top layer of the inner lining mainly close to the bottom layer of the tonsil. Because anti-CD103 is very sensitive in detecting hairy cell leukemia, it serves as a helpful marker for telling it apart from other B-cell cancers.

Ordering Information
Volume:Catalog No:
Concentrated 0.1 mLG0437 A
Concentrated 0.5 mLG0437 B
Concentrated 1 mLG0437 C
Prediluted 6.0 mLG0437 AA
Prediluted 3.0 mLG0437 BB
Specifications
SpeciesRabbit
CloneEP206
Visualisationcytoplasmic, membranous
Controlhairy cell leukemia, colon
Intended UseRUO

Please Fill the below form for Request a quote

sabung ayam online

judi bola online

slot gacor 777

slot777

judi bola online

slot Thailand

sabung ayam online

judi bola online

slot thailand

slot777

mahjong ways

sabung ayam online

slot777

live casino online

judi bola online

mahjong slot

sabung ayam online

slot thailand

judi bola online

slot777

live casino online

slot777

judi bola online

sabung ayam online

sabung ayam online

judi bola online

slot777

judi bola online

sabung ayam online

sabung ayam online

judi bola online

live casino online

slot mahjong

slot thailand

judi bola online

live casino online

sabung ayam online

slot mahjong

sabung ayam online

judi bola online

judi bola online

sabung ayam online

mahjong slot

sabung ayam online

judi bola online

judi bola online

sabung ayam online

judi bola online

situs slot gacor

sabung ayam online

mahjong slot

live casino online

judi bola online

judi bola online

sabung ayam online

live casino online

judi bola online

sabung ayam online

live casino online

mahjong slot

judi bola online

sabung ayam online

live casino online

judi bola online

slot Thailand

sabung ayam online

live casino online

slot Thailand

sabung ayam online

judi bola online

judi bola online

sabung ayam online

live casino online

slot777

slot gacor

sabung ayam online

judi bola online

live casino online

situs slot gacor

judi bola online

sabung ayam online

judi bola online

live casino online

slot mahjong

judi bola online

sabung ayam online

judi bola online

sabung ayam online

live casino online

sabung ayam online

judi bola online

mahjong slot

judi bola online

judi bola online

slot mahjong ways

sabung ayam online

judi bola online

slot zeus

live casino online

slot777

judi bola online

sabung ayam online

live casino online

slot777

judi bola online

judi bola online

sabung ayam online

live casino online

judi bola online

sabung ayam online

live casino online

judi bola online

judi bola online

live casino online

judi bola online

judi bola online

sabung ayam online

live casino online

judi bola

judi bola

sabung ayam

live casino

judi bola

judi bola

judi bola

sabung ayam

judi bola

mahjong slot

judi bola

sabung ayam

judi bola

mahjong slot

sabung ayam

sabung ayam

judi bola

judi bola

mahjong slot

sabung ayam

judi bola

sabung ayam

judi bola

sabung ayam

judi bola

live casino

sabung ayam

judi bola

live casino

sabung ayam

sabung ayam

judi bola

sabung ayam

sabung ayam

judi bola

live casino

toto slot

judi bola

slot thailand

judi bola

sabung ayam

judi bola

live casino

slot online

sabung ayam

judi bola

slot777

sabung ayam online

THOR311

THOR311

THOR311

THOR311