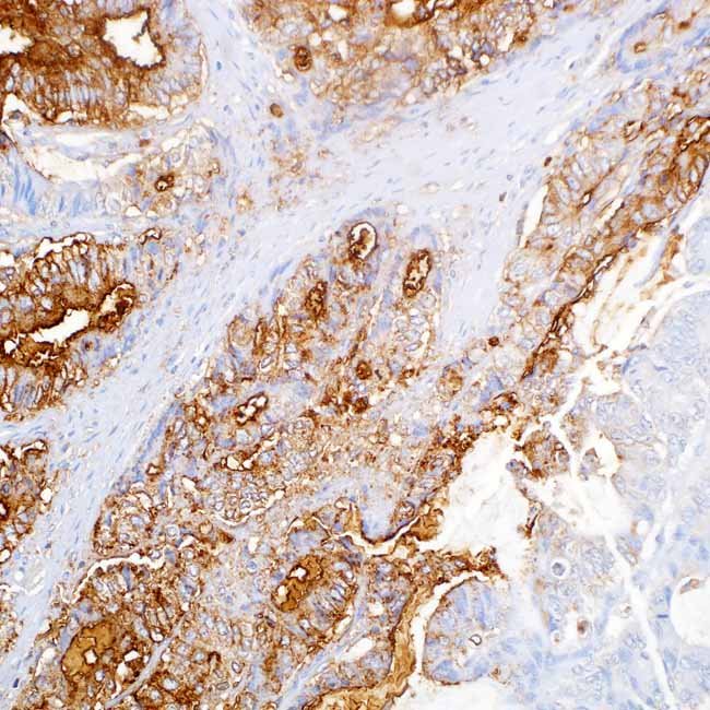
CA19.9 (121SLE)

Lewis blood group is associated with CA 19-9 antibody, acarbohydrate antigenic determinant that was discoveredto be a sialylated lacto-N fucopentose II. CA 19-9 may bean adhesion molecule that contributes to the developmentof tumours. It has been demonstrated thatadenocarcinomas of the pancreas, stomach, breast, colon,and gall bladder can be identified by the CA 19-9 antibody.Both primary and metastatic ovarian carcinomas expressCA 19-9. According to studies, a positive expression of CA19-9 may indicate a higher risk of dying from cancer.

Ordering Information
Volume:Catalog No:
Concentrated 0.1 mLG0399A
Concentrated 0.5 mLG0399B
Concentrated 1 mLG0399C
Prediluted 6.0 mLG0399AA
Prediluted 3.0 mLG0399BB
Specifications
SpeciesMouse
Clone121SLE
VisualisationCytoplasmic
ControlColon carcinomas
Intended UseRUO
Package Insert PDFs

Please Fill the below form for Request a quote