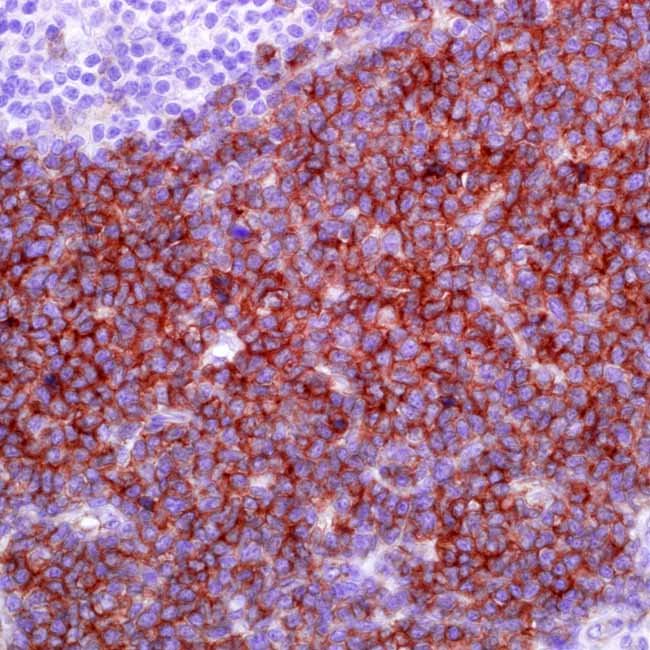
CD123 (6H6)

Myocytes, basal keratinocytes, hepatocytes,spermatocytes, endocrine pancreas, placentalsyncytiotrophoblasts, and erythroid precursors all expresstransferrin receptor 1 (CD71). During the intermediatenormoblast phase, transferrin receptor expression peaks inearly erythroid precursors, and then declines during thereticulocyte phase. Erythrocyte maturation causes theexpression of the transferrin receptor to decrease. Whendetecting erythroid precursors, anti-CD71 is helpful.Because erythroid precursors have a large amount oftransferrin receptor, anti-CD71 is a great marker forassessing erythroid precursors in bone marrow biopsyspecimens. It exhibits the following characteristics: Thebone marrow biopsy specimens exhibit 1) a distinctmembranous and cytoplasmic staining pattern that is easilyrecognised; 2) restriction to erythroid lineage; 3) adecrease in CD71 expression as erythrocytes mature, withthe highest level observed in early forms and the lowestlevel in late normoblast stage; and, most significantly, 4)mature erythrocytes do not express CD71.

Ordering Information
Volume:Catalog No:
Concentrated 0.1 mLG0198B
Concentrated 0.5 mLG0198A
Concentrated 1 mLG0198C
Prediluted 6.0 mLG0198AA
Prediluted 3.0 mLG0198BB
Specifications
SpeciesMouse
Clone6H6
VisualisationCell membrane
ControlBlastic plasmacytoid dendritic cell neoplasm (BPDCN) cells
Intended UseRUO
Package Insert PDFs

Please Fill the below form for Request a quote