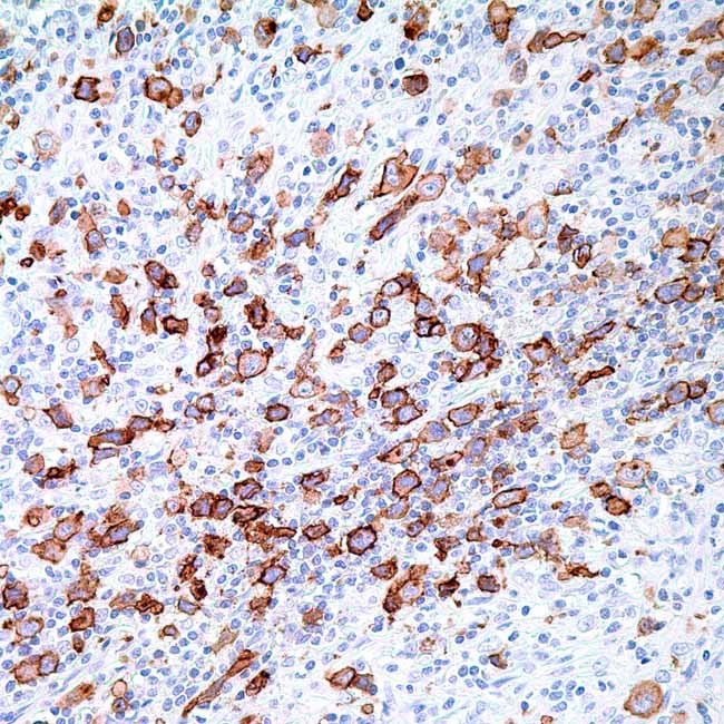
CD30 (Ber-H2)

Anti-CD30 identifies a specific part that resists formalin and is present on Reed-Sternberg cells found in typical Hodgkin lymphoma, most anaplastic large cell lymphomas, CD30 positive T-cell disorders that primarily affect the skin, and also in embryonal carcinomas. Sometimes, diffuse large B-cell lymphoma can be marked using this antibody. Additionally, this antibody highlights plasma cells within tissue preserved in paraffin, along with reactive immunoblasts. The way anti-CD30 stains lymphoma differs from how it stains embryonal carcinoma; in lymphoma, the staining occurs in the membrane and shows a stronger color in the Golgi area, while in embryonal carcinoma, only the membrane shows staining.

Ordering Information
Volume:Catalog No:
Concentrated 0.1 mLG0130 A
Concentrated 0.5 mLG0130 B
Concentrated 1 mLG0130 C
Prediluted 6.0 mLG0130 AA
Prediluted 3.0 mLG0130 BB
Specifications
SpeciesMouse
CloneBer-H2
VisualisationMembranous
ControlClassic Hodgkin Lymphoma (Membranous); Lymphoma (Membranous)
Intended UseRUO

Please Fill the below form for Request a quote

belajar baru pintar