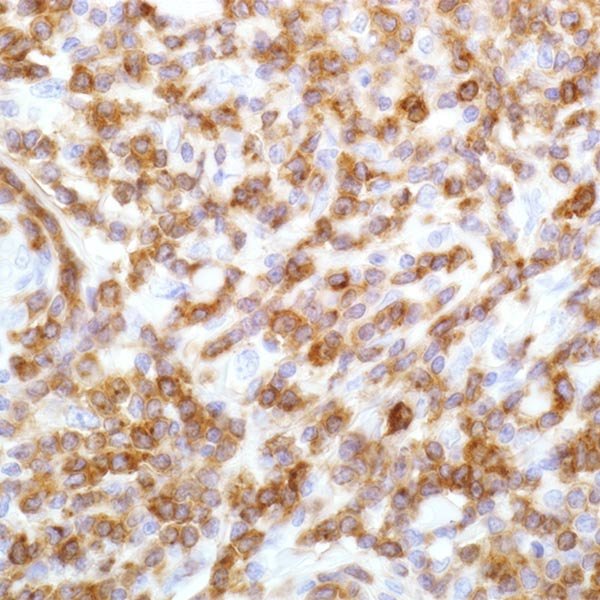
CD7 (EP132)

CD7 is a 40 kDa single-chain glycoprotein transmembranethat belongs to the immunoglobulin gene class. T-cellleukaemia and the majority of immature and mature T-lymphocytes express it. Malignant B-cells, a tiny subset ofnormal B-cells, and natural killer cells also contain CD7.During the early stages of lymphoid development, it iscrucial for both T-cell contacts and T-cell/B-cellinteractions.Since CD7 antibody is a T-cell antigen that is constantlyexpressed in lymphoblastic lymphomas and leukaemias, itis a helpful marker for identifying these neoplasticproliferations. T-cell Acute LymphoblasticLeukemia/Lymphoma, Acute Myelogenous Leukaemia,Chronic Myelogenous Leukaemia, NK cells, certain myeloidcells, and the majority of mature peripheral T-cells andpost-thymic T-cells express CD7 antibodies. Remarkably,CD7 is not expressed in Sezary cells and is noticeablymissing in adult T-cell leukemia/lymphoma.

Ordering Information
Volume:Catalog No:
Concentrated 0.1 mLG1070A
Concentrated 0.5 mLG1070B
Concentrated 1 mLG1070C
Prediluted 6.0 mLG1070AA
Prediluted 3.0 mLG1070BB
Specifications
SpeciesRabbit
CloneEP132
VisualisationMembranous
ControlTonsil, peripheral T-cell Lymphoma
Intended UseRUO
Package Insert PDFs

Please Fill the below form for Request a quote