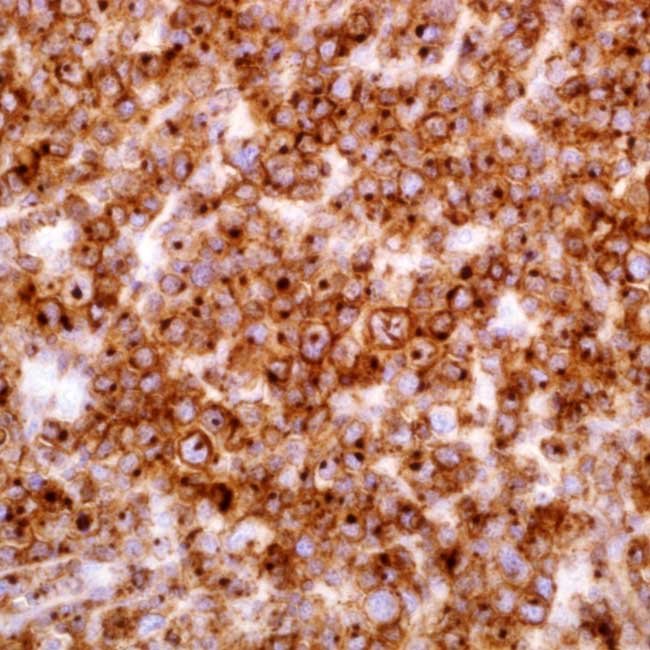
CD2 (EP222)

CD2 is one of the initial T-cell lineage restricted antigens toarise during T-cell development and only rare CD2+ cellsmay be identified in the bone marrow. One pan-T-cellantigen marker is anti-CD2. Therefore, anti-CD2 can beused to identify almost all normal T-lymphocytes. It is alsovery useful in the assessment of lymphoid malignancies asit is expressed in the majority of precursor and mature T-cell lymphomas and leukemias. As with other pan-T-cellantigens, CD2 may be aberrantly deleted in variousneoplastic T-cell populations, including peripheral T-celllymphomas. Anti-CD2 may help detect mastocyticleukaemia and systemic mastocytosis when paired withanti-CD25. T-cell surface antigen A surface glycoproteinspecific to T cells, CD2 (CD2) plays a crucial role inpromoting T cell adhesion to target or antigen-presentingcells. It mediates adhesion between T-cells and other celltypes by interacting with CD48/BCM1 and lymphocytefunction-associated antigen (LFA-3). The cytoplasmicdomain is involved in signalling, and CD2 is implicated in T-cell activation. One pan T-cell marker is CD2. CD2 antibodylabels T-cell, thymocytes and natural killer (NK) cells. A tinypercentage of T cells lack CD2. CD2 antibody is useful foridentification of precursor and mature T-cell lymphomas.Aberrant loss of CD2 in T-cell lymphomas may help todistinguish them from reactive T-cell proliferations.

Ordering Information
Volume:Catalog No:
Concentrated 0.1 mLG0102A
Concentrated 0.5 mLG0102B
Concentrated 1 mLG0102C
Prediluted 6.0 mLG0102 AA
Prediluted 3.0 mLG0102BB
Specifications
SpeciesRabbit
CloneEP222
VisualisationCytoplasmic, membranous
ControlTonsil
Intended UseRUO
Package Insert PDFs

Please Fill the below form for Request a quote

belajar baru pintar