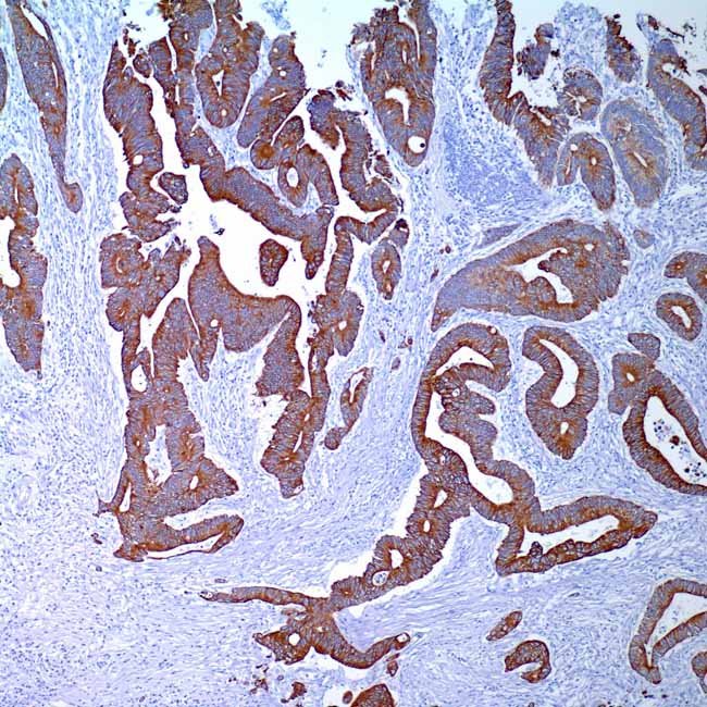
Cytokeratin 20 (Ks20.8)

Cytokeratin 20 is a 46-kDa intermediate filament protein that interacts predominantly with Merkel cells, urothelium, and gastric and intestinal epithelium. Under normal, hyperplastic, and neoplastic circumstances, anti-Cytokeratin 20 is helpful in identifying particular types of these epithelial cells.3 Cytokeratin 20 has been discovered in a variety of adenocarcinomas, including those of the colon and stomach. There has been reactivity in Merkel cell carcinomas. Breast tumors, in contrast, are usually non-reactive.

Ordering Information
Volume:Catalog No:
Concentrated 0.1 mLG0320 A
Concentrated 0.5 mLG0320 B
Concentrated 1 mLG0320 C
Prediluted 6.0 mLG0320 AA
Prediluted 3.0 mLG0320 BB
Specifications
SpeciesMouse
CloneKs20.8
VisualisationCytoplasmic
ControlColon Carcinoma (Cytoplasmic)
Intended UseRUO

Please Fill the below form for Request a quote

belajar baru pintar