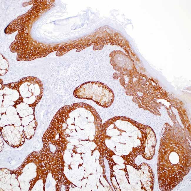
Cytokeratin 5 (EP1601Y)

Within the cytokeratin family, cytokeratin 5 is an intermediate filament protein with a molecular weight of 58 kD. It is a type II (basic) cytokeratin. Antibodies to this protein identify basal cells of squamous and glandular epithelia, myoepithelia, and mesothelium.1 It has been reported that anti-cytokeratin 5 is useful in distinguishing metastatic carcinoma in the pleura from epithelioid mesothelioma. The majority of epithelioid mesotheliomas are intensely positive, but only a small percentage of pulmonary adenocarcinomas exhibit focal immunoreactivity. Anti-CK 5 immunostains nearly all squamous cell carcinomas, half of transitional carcinomas, and a large number of undifferentiated large cell carcinomas. Anti-CK 5, along with anti-p63, provides a high degree of sensitivity and specificity for squamous differentiation. Anti-CK 5 labels basal cells of the prostate, myoepithelial cells of the breast, and glandular epithelia. This antibody, together with anti-CK 14, has been used to identify basal-like breast carcinoma.

Ordering Information
Volume:Catalog No:
Concentrated 0.1 mLG0305 A
Concentrated 0.5 mLG0305 B
Concentrated 1 mLG0305 C
Prediluted 6.0 mLG0305 AA
Prediluted 3.0 mLG0305 BB
Specifications
SpeciesRabbit
CloneEP1601Y
Visualisationcytoplasmic
Controlmesothelioma, prostate
Intended UseRUO

Please Fill the below form for Request a quote

belajar baru pintar