E-cadherin (EP6)

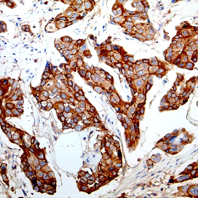
Transmembrane glycoprotein E-Cadherin (EP6) is essentialfor cell adhesion, especially in epithelial tissues. It belongsto the cadherin family, which strengthens cell-to-cellinteractions by forming adherens junctions. In certainmalignancies, such as breast and esophageal cancer, loss ordownregulation of E-Cadherin is linked to enhanced cancercell motility, metastasis, and a poor prognosis.Transmembrane proteins belong to the class of cadherins.By guaranteeing that cells within tissues are bondedtogether, they play a crucial part in cell adhesion. Cells ofthe epithelial lineage exhibit the adhesion protein E-Cadherin. It has positive staining in glandular epithelium,ovarian, lung, and gastrointestinal tract adenocarcinomas.E-Cadherin has proven helpful in differentiating betweenmesothelioma and adenocarcinoma. Additionally, it hasbeen demonstrated to be positive in certain thyroidcancers. It can be utilised to distinguish between LobularBreast Carcinomas and Ductal Carcinomas (which testpositive for E-Cadherin). The development and metastasisof cancer have been linked to the loss of E-Cadherinantibody expression. Cellular motility increases when E-Cadherin is downregulated because it weakens cellularadhesion within tissue. Cancer cells may then be able topenetrate the basement membrane and spread to nearbytissues as a result.

Ordering Information
Volume:Catalog No:
Concentrated 0.1 mLG0030B
Concentrated 0.5 mLG0030A
Concentrated 1 mLG0030C
Prediluted 6.0 mLG0030AA
Prediluted 3.0 mLG0030BB
Specifications
SpeciesRabbit
CloneEP6
VisualisationMembranous
ControlBreast, Colon, Cervix, Pancreas, Lung, Ovary, GI Tract Adenocarcinoma, Breast Carcinoma
Intended UseRUO
Package Insert PDFs

Please Fill the below form for Request a quote

belajar baru pintar