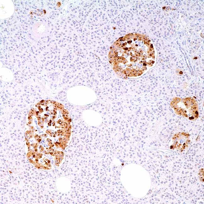
Chromogranin A is an acidic glycoprotein located within thesecretory granules of neuroendocrine cells and is widelyrecognized as a sensitive and specific marker ofneuroendocrine differentiation. It is expressed in normalendocrine tissues such as the pancreas, pituitary, thyroid,parathyroid, and adrenal medulla, as well as in a variety ofneuroendocrine neoplasms including carcinoid tumors,pheochromocytomas, paragangliomas, pancreaticneuroendocrine tumors, medullary thyroid carcinomas,and small cell carcinomas of the lung. Chromogranin Aplays an essential role in the formation and function ofdense-core secretory granules, serving as a prohormoneand precursor to several biologically active peptides. Dueto its strong, granular cytoplasmic reactivity, the LK2H10clone is suitable for the qualitative detection ofChromogranin A in FFPE tissues and is an important tool inresearch involving neuroendocrine biology, tumorcharacterization, and studies of secretory granule proteinexpression.