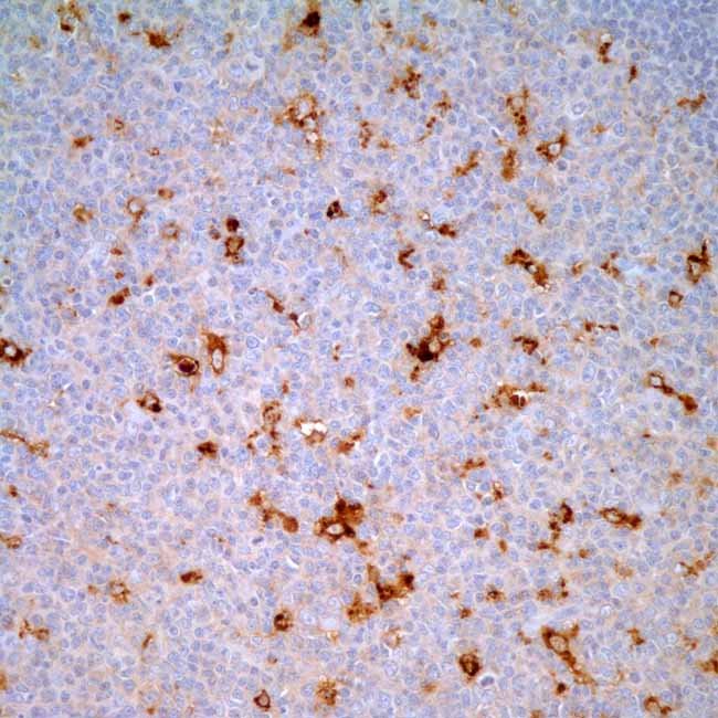
Lysozyme Polyclonal

A study utilizing immunohistochemistry with Lysozyme indicates it displays cytoplasmic presence in both hematopoietic and non-hematopoietic cells, including renal proximal convoluted tubules. Lysozyme could serve as a general marker for tissue macrophages, such as alveolar macrophages and liver Kupffer cells, as well as for histiocytes, monocytes, myeloid cells, and their growths and tumors. The use of anti-lysozyme may support the diagnosis of histiocytic disorders and tumors, acute myelomonocytic leukemia, acute monocytic leukemia, and Langerhans cell histiocytosis.

Ordering Information
Volume:Catalog No:
Concentrated 0.1 mLG0278 A
Concentrated 0.5 mLG0278 B
Concentrated 1 mLG0278 C
Prediluted 6.0 mLG0278 AA
Prediluted 3.0 mLG0278 BB
Specifications
SpeciesRabbit
ClonePolyclonal
Visualisationcytoplasmic
Controltonsil
Intended UseRUO

Please Fill the below form for Request a quote

sabung ayam online

judi bola online

slot gacor 777

slot777

judi bola online

slot Thailand

sabung ayam online

judi bola online

slot thailand

slot777

mahjong ways

sabung ayam online

slot777

live casino online

judi bola online

mahjong slot

sabung ayam online

slot thailand

judi bola online

slot777

live casino online

slot777

judi bola online

sabung ayam online

sabung ayam online

judi bola online

slot777

judi bola online

sabung ayam online

sabung ayam online

judi bola online

live casino online

slot mahjong

slot thailand

judi bola online

live casino online

sabung ayam online

slot mahjong

sabung ayam online

judi bola online

judi bola online

sabung ayam online

mahjong slot

sabung ayam online

judi bola online

judi bola online

sabung ayam online

judi bola online

situs slot gacor

sabung ayam online

mahjong slot

live casino online

judi bola online

judi bola online

sabung ayam online

live casino online

judi bola online

sabung ayam online

live casino online

mahjong slot

judi bola online

sabung ayam online

live casino online

judi bola online

slot Thailand

sabung ayam online

live casino online

slot Thailand

sabung ayam online

judi bola online

judi bola online

sabung ayam online

live casino online

slot777

slot gacor

sabung ayam online

judi bola online

live casino online

situs slot gacor

judi bola online

sabung ayam online

judi bola online

live casino online

slot mahjong

judi bola online

sabung ayam online

judi bola online

sabung ayam online

live casino online

sabung ayam online

judi bola online

mahjong slot

judi bola online

judi bola online

slot mahjong ways

sabung ayam online

judi bola online

slot zeus

live casino online

slot777

judi bola online

sabung ayam online

live casino online

slot777

judi bola online

judi bola online

sabung ayam online

live casino online

judi bola online

sabung ayam online

live casino online

judi bola online

judi bola online

live casino online

judi bola online

judi bola online

sabung ayam online

live casino online

judi bola

judi bola

sabung ayam

live casino

judi bola

judi bola

judi bola

sabung ayam

judi bola

mahjong slot

judi bola

sabung ayam

judi bola

mahjong slot

sabung ayam

sabung ayam

judi bola

judi bola

mahjong slot

sabung ayam

judi bola

sabung ayam

judi bola

sabung ayam

judi bola

live casino

sabung ayam

judi bola

live casino

sabung ayam

sabung ayam

judi bola

sabung ayam

sabung ayam

judi bola

live casino

toto slot

judi bola

slot thailand

judi bola

sabung ayam

judi bola

live casino

slot online

sabung ayam online