HMB-45 (HMB-45)

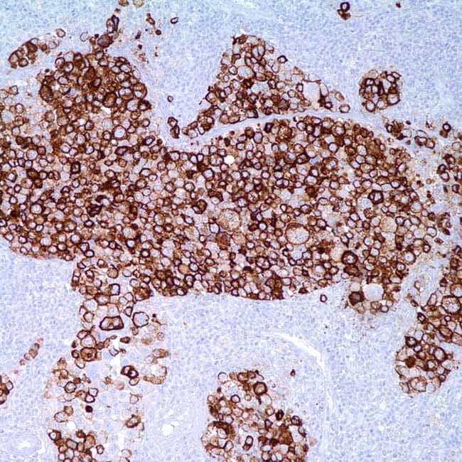
HMB45 is a widely recognized monoclonal antibody usedto detect a specific melanosomal glycoprotein. It is highlyreactive with a range of melanocytic lesions, especiallymelanoma. HMB45 typically labels junctional nevus cellsand fetal melanocytes but does not react with normal adultmelanocytes. It is a useful marker for active melanogenesis.Re-expression can occur in activated melanocytes undercertain physiological conditions. HMB45 may occasionallyshow staining in hair follicles, but it generally does not labelmelanocytes in lentigines or benign fibroblasticproliferations. Its staining profile is highly selective andrarely observed in normal non-melanocytic tissues.

Ordering Information
Volume:Catalog No:
Concentrated 0.1 mLG0282A
Concentrated 0.5 mLG0282B
Concentrated 1 mLG0282C
Prediluted 6.0 mLG0282AA
Prediluted 3.0 mLG0282BB
Specifications
SpeciesMouse
CloneHMB45
VisualisationCytoplasm
ControlHuman melanoma tissue
Intended UseRUO
Package Insert PDFs

Please Fill the below form for Request a quote