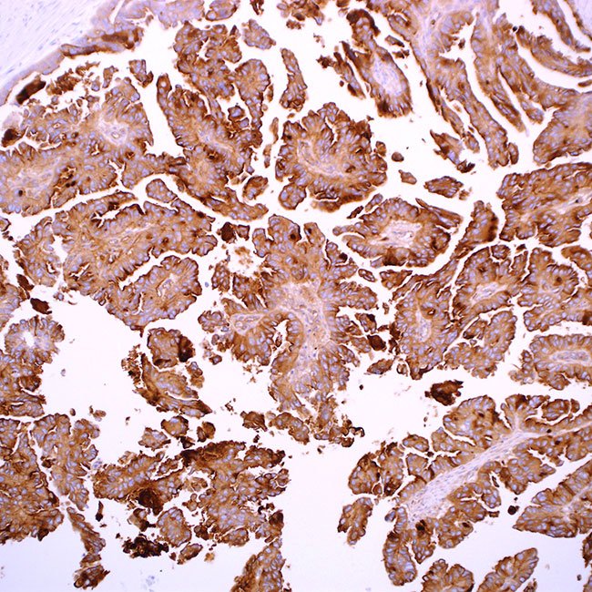
Mesothelin (EP140)

Mesothelin is a glycoprotein weighing 40 kDa that is attached to the cell membrane by glycosyl-phosphatidylinositol. It is derived from a larger precursor protein of 71 kDa, which is generated by the human mesothelin gene. This protein is found on the exterior of normal mesothelial cells. Although its precise role remains unclear, mesothelin is produced in excess in many types of cancers, such as mesothelioma, pancreatic ductal adenocarcinoma, and ovarian carcinoma. This molecule has been recognized as an important marker for pancreatic ductal adenocarcinoma because it shows high reactivity in cancer tissue but is not found in healthy pancreatic cells. Metastatic renal cell carcinoma may exhibit symptoms similar to primary mesothelioma, pancreatic ductal adenocarcinoma, and ovarian carcinoma. Mesothelin has shown effectiveness in distinguishing these primary tumors from metastatic renal cell carcinoma when using an antibody panel for testing.

Ordering Information
Volume:Catalog No:
Concentrated 0.1 mLG0439 A
Concentrated 0.5 mLG0439 B
Concentrated 1 mLG0439 C
Prediluted 6.0 mLG0439 AA
Prediluted 3.0 mLG0439 BB
Specifications
SpeciesRabbit
CloneEP140
Visualisationmembranous
Controlmesothelioma, ovarian carcinoma
Intended UseRUO

Please Fill the below form for Request a quote

sabung ayam online

judi bola online

slot gacor 777

slot777

judi bola online

slot Thailand

sabung ayam online

judi bola online

slot thailand

slot777

mahjong ways

sabung ayam online

slot777

live casino online

judi bola online

mahjong slot

sabung ayam online

slot thailand

judi bola online

slot777

live casino online

slot777

judi bola online

sabung ayam online

sabung ayam online

judi bola online

slot777

judi bola online

sabung ayam online

sabung ayam online

judi bola online

live casino online

slot mahjong

slot thailand

judi bola online

live casino online

sabung ayam online

slot mahjong

sabung ayam online

judi bola online

judi bola online

sabung ayam online

mahjong slot

sabung ayam online

judi bola online

judi bola online

sabung ayam online

judi bola online

situs slot gacor

sabung ayam online

mahjong slot

live casino online

judi bola online

judi bola online

sabung ayam online

live casino online

judi bola online

sabung ayam online

live casino online

mahjong slot

judi bola online

sabung ayam online

live casino online

judi bola online

slot Thailand

sabung ayam online

live casino online

slot Thailand

sabung ayam online

judi bola online

judi bola online

sabung ayam online

live casino online

slot777

slot gacor

sabung ayam online

judi bola online

live casino online

situs slot gacor

judi bola online

sabung ayam online

judi bola online

live casino online

slot mahjong

judi bola online

sabung ayam online

judi bola online

sabung ayam online

live casino online

sabung ayam online

judi bola online

mahjong slot

judi bola online

judi bola online

slot mahjong ways

sabung ayam online

judi bola online

slot zeus

live casino online

slot777

judi bola online

sabung ayam online

live casino online

slot777

judi bola online

judi bola online

sabung ayam online

live casino online

judi bola online

sabung ayam online

live casino online

judi bola online

judi bola online

live casino online

judi bola online

judi bola online

sabung ayam online

live casino online

judi bola

judi bola

sabung ayam

live casino

judi bola

judi bola

judi bola

sabung ayam

judi bola

mahjong slot

judi bola

sabung ayam

judi bola

mahjong slot

sabung ayam

sabung ayam

judi bola

judi bola

mahjong slot

sabung ayam

judi bola

sabung ayam

judi bola

sabung ayam

judi bola

live casino

sabung ayam

judi bola

live casino

sabung ayam

sabung ayam

judi bola

sabung ayam

sabung ayam

judi bola

live casino

toto slot

judi bola

slot thailand

judi bola

sabung ayam

judi bola

live casino

slot online

sabung ayam

judi bola

slot777

sabung ayam online

THOR311

THOR311

THOR311

THOR311