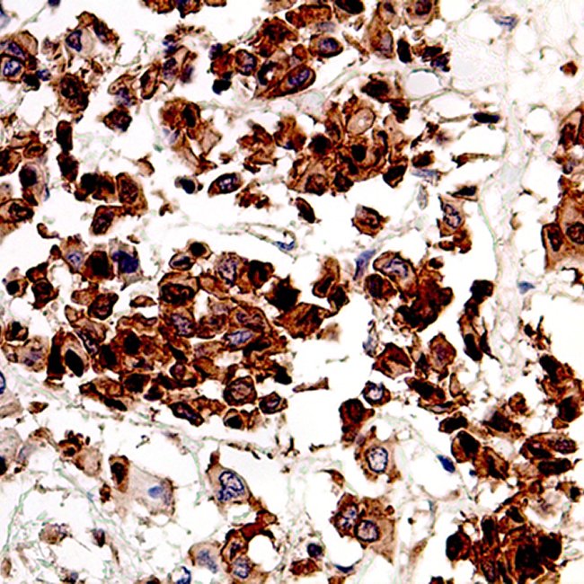
p120 Catenin (EP66)

The Armadillo protein family, which includes the p120Catenin antibody, is involved in signal transduction and celladhesion. Catenins and cadherins combine to form acomplex that is connected to the network of actin filamentsand appears to be crucial for the cell-adhesioncharacteristics of cadherins. Lung, pancreatic, gastric, andcolon tumours have all been shown to exhibit cytoplasmicaccumulation of p120 Catenin, which is linked to a badprognosis for individuals with colon cancer.The p120 Catenin antibody exhibits a widespreadcytoplasmic immunostaining pattern in breast lobularneoplasia, however the membrane immunostainingpattern is retained in breast ductal neoplasia. p120 Catenincan be helpful in detecting early lobular neoplasia lesionsand in distinguishing between ductal and lobular cancer ofthe breast.

Ordering Information
Volume:Catalog No:
Concentrated 0.1 mLG0630A
Concentrated 0.5 mLG0630B
Concentrated 1 mLG0630C
Prediluted 6.0 mLG0630AA
Prediluted 3.0 mLG0630BB
Specifications
SpeciesRabbit
CloneEP66
VisualisationMembranous, Cytoplasmic
ControlBreast, Breast Lobular Carcinoma
Intended UseRUO
Package Insert PDFs

Please Fill the below form for Request a quote

belajar baru pintar