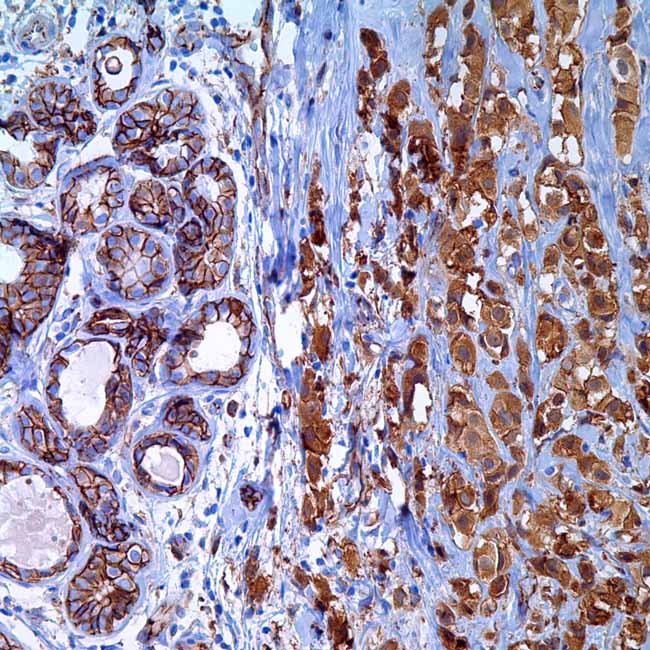
p120 Catenin (MRQ-5)

p120 catenin is situated on chromosome 11q11. Both alpha-catenin and beta-catenin connect to the intracellular section of E-cadherin, whereas p120 catenin attaches to E-cadherin at a nearby membrane location. This assembly reinforces tight junctions. Within the cell, p120 catenin is found in the E-cadherin/catenins adhesion complex, forming a direct link with the cytoplasmic C-terminus of E-cadherin and potentially engaging with additional cadherins. A lack of E-cadherin leads to the buildup of p120 catenin within the cytoplasm. In lobular breast carcinoma, there is a notable accumulation of p120 catenin inside the cell, while ductal carcinoma demonstrates less p120 catenin at the membrane without any cytoplasmic build-up. In cases of gastric and colonic carcinoma, significant cytoplasmic p120 catenin correlates with an infiltrative morphology that lacks cohesion.

Ordering Information
Volume:Catalog No:
Concentrated 0.1 mLG0420 A
Concentrated 0.5 mLG0420 B
Concentrated 1 mLG0420 C
Prediluted 6.0 mLG0420 AA
Prediluted 3.0 mLG0420 BB
Specifications
SpeciesMouse
CloneMRQ-5
VisualisationCytoplasmic, Membranous
ControlBreast lobular carcinoma (Cytoplasmic, Membranous)
Intended UseRUO

Please Fill the below form for Request a quote

sabung ayam online

judi bola online

slot gacor 777

slot777

judi bola online

slot Thailand

sabung ayam online

judi bola online

slot thailand

slot777

mahjong ways

sabung ayam online

slot777

live casino online

judi bola online

mahjong slot

sabung ayam online

slot thailand

judi bola online

slot777

live casino online

slot777

judi bola online

sabung ayam online

sabung ayam online

judi bola online

slot777

judi bola online

sabung ayam online

sabung ayam online

judi bola online

live casino online

slot mahjong

slot thailand

judi bola online

live casino online

sabung ayam online

slot mahjong

sabung ayam online

judi bola online

judi bola online

sabung ayam online

mahjong slot

sabung ayam online

judi bola online

judi bola online

sabung ayam online

judi bola online

situs slot gacor

sabung ayam online

mahjong slot

live casino online

judi bola online

judi bola online

sabung ayam online

live casino online

judi bola online

sabung ayam online

live casino online

mahjong slot

judi bola online

sabung ayam online

live casino online

judi bola online

slot Thailand

sabung ayam online

live casino online

slot Thailand

sabung ayam online

judi bola online

judi bola online

sabung ayam online

live casino online

slot777

slot gacor

sabung ayam online

judi bola online

live casino online

situs slot gacor

judi bola online

sabung ayam online

judi bola online

live casino online

slot mahjong

judi bola online

sabung ayam online

judi bola online

sabung ayam online

live casino online

sabung ayam online

judi bola online

mahjong slot

judi bola online

judi bola online

slot mahjong ways

sabung ayam online

judi bola online

slot zeus

live casino online

slot777

judi bola online

sabung ayam online

live casino online

slot777

judi bola online

judi bola online

sabung ayam online

live casino online

judi bola online

sabung ayam online

live casino online

judi bola online

judi bola online

live casino online

judi bola online

judi bola online

sabung ayam online

live casino online

judi bola

judi bola

sabung ayam

live casino

judi bola

judi bola

judi bola

sabung ayam

judi bola

mahjong slot

judi bola

sabung ayam

judi bola

mahjong slot

sabung ayam

sabung ayam

judi bola

judi bola

mahjong slot

sabung ayam

judi bola

sabung ayam

judi bola

sabung ayam

judi bola

live casino

sabung ayam

judi bola

live casino

sabung ayam

sabung ayam

judi bola

sabung ayam

sabung ayam

judi bola

live casino

toto slot

judi bola

slot thailand

judi bola

sabung ayam

judi bola

live casino

slot online

sabung ayam

judi bola

slot777

sabung ayam online

THOR311

THOR311

THOR311

THOR311