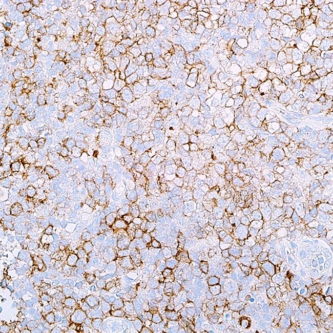
PD-1 (EP239)

Myeloid cells, B-cells, and activated T-cells all expressprogrammed death-1 (PD-1). One indicator ofangioimmunoblastic lymphoma that points to a distinct cellof origin for the tumour is anti-PD-1. Since few B-cellsexpress PD-1, as opposed to CD10 and BCL6, anti-PD-1 maybe a more accurate and practical marker for identifyingangioimmunoblastic lymphoma. Furthermore, PD-1expression shows that angioimmunoblastic lymphoma is atumour that originates from T-cells linked with germinalcentres. This paradigm of T-cell oncogenesis, in whichparticular subtypes of T-cells may undergo neoplastictransformation and result in specific distinct histologic,immunophenotypic, and clinical subtypes of T-cellneoplasia, is further supported by the presence of PD-1 inangioimmunoblastic lymphoma.

Ordering Information
Volume:Catalog No:
Concentrated 0.1 mLG0315A
Concentrated 0.5 mLG0315B
Concentrated 1 mLG0315C
Prediluted 6.0 mLG0315AA
Prediluted 3.0 mLG0315BB
Specifications
SpeciesRabbit
CloneEP239
VisualisationCytoplasmic, membranous
ControlTonsil, Lymph node
Intended UseRUO
Package Insert PDFs

Please Fill the below form for Request a quote

sabung ayam online

judi bola online

slot gacor 777

slot777

judi bola online

slot Thailand

sabung ayam online

judi bola online

slot thailand

slot777

mahjong ways

sabung ayam online

slot777

live casino online

judi bola online

mahjong slot

sabung ayam online

slot thailand

judi bola online

slot777

live casino online

slot777

judi bola online

sabung ayam online

sabung ayam online

judi bola online

slot777

judi bola online

sabung ayam online

sabung ayam online

judi bola online

live casino online

slot mahjong

slot thailand

judi bola online

live casino online

sabung ayam online

slot mahjong

sabung ayam online

judi bola online

judi bola online

sabung ayam online

mahjong slot

sabung ayam online

judi bola online

judi bola online

sabung ayam online

judi bola online

situs slot gacor

sabung ayam online

mahjong slot

live casino online

judi bola online

judi bola online

sabung ayam online

live casino online

judi bola online

sabung ayam online

live casino online

mahjong slot

judi bola online

sabung ayam online

live casino online

judi bola online

slot Thailand

sabung ayam online

live casino online

slot Thailand

sabung ayam online

judi bola online

judi bola online

sabung ayam online

live casino online

slot777

slot gacor

sabung ayam online

judi bola online

live casino online

situs slot gacor

judi bola online

sabung ayam online

judi bola online

live casino online

slot mahjong

judi bola online

sabung ayam online

judi bola online

sabung ayam online

live casino online

sabung ayam online

judi bola online

mahjong slot

judi bola online

judi bola online

slot mahjong ways

sabung ayam online

judi bola online

slot zeus

live casino online

slot777

judi bola online

sabung ayam online

live casino online

slot777

judi bola online

judi bola online

sabung ayam online

live casino online

judi bola online

sabung ayam online

live casino online

judi bola online

judi bola online

live casino online

judi bola online

judi bola online

sabung ayam online

live casino online

judi bola

judi bola

sabung ayam

live casino

judi bola

judi bola

judi bola

sabung ayam

judi bola

mahjong slot

judi bola

sabung ayam

judi bola

mahjong slot

sabung ayam

sabung ayam

judi bola

judi bola

mahjong slot

sabung ayam

judi bola

sabung ayam

judi bola

sabung ayam

judi bola

live casino

sabung ayam

judi bola

live casino

sabung ayam

sabung ayam

judi bola

sabung ayam

sabung ayam

judi bola

live casino

toto slot

judi bola

slot thailand

judi bola

sabung ayam

judi bola

live casino

slot online

sabung ayam

judi bola

slot777

sabung ayam online

THOR311

THOR311

THOR311

THOR311