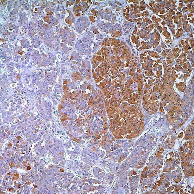
ACTH Polyclonal

ACTH, known as Adrenocorticotropic hormone, is created from pre-pro-opiomelanocortin (pre-POMC). It is made and released by corticotroph cells located in the anterior part (or adenohypophysis) of the pituitary gland. The anti-ACTH immunohistochemical marker may be beneficial in researching both cancerous and non-cancerous conditions of the pituitary gland.1-4

Ordering Information
Volume:Catalog No:
Concentrated 0.1 mLG0206 A
Concentrated 0.5 mLG0206 B
Concentrated 1 mLG0206 C
Prediluted 6.0 mLG0206 AA
Prediluted 3.0 mLG0206 BB
Specifications
SpeciesRabbit
ClonePolyclonal
Visualisationcytoplasmic
Controlpituitary (cytoplasmic)
Intended UseRUO

Please Fill the below form for Request a quote

belajar baru pintar