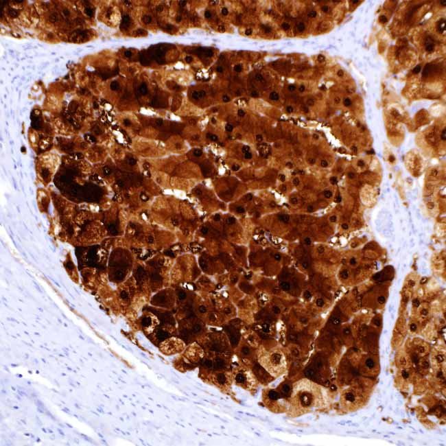
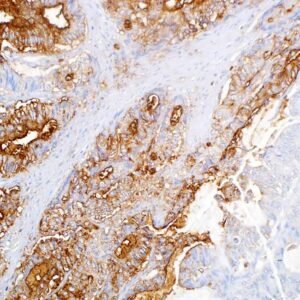
ARG-1 (EP261)

Arginase-1 is a key urea cycle metalloenzyme that has demonstrated expression in normal human liver with a high degree of specificity.1-2 Hepatocellular carcinoma (HCC) is the most common primary malignant tumor of the liver accounting for an estimated 70%-85% of total liver cancers worldwide.3-4 Diagnostic pitfalls exist in the morphologic distinction of HCC from other hepatocellular and non-hepatocellular lesions. In difficult or equivocal cases, the application of immunohistochemical (IHC) panels has been shown to aid in the distinction of benign and malignant liver lesions.5-10 In sections of normal liver, anti-arginase-1 produced strong, diffuse cytoplasmic reactivity in all hepatocytes throughout the lobule. In some cases, patchy nuclear reactivity is also evident in hepatocytes along with the cytoplasmic reactivity.1,2 Reactivity is not observed in bile duct epithelial cells, sinusoidal endothelial cells, Kupffer cells, or vascular endothelial cells. In sections of HCC, anti-arginase-1 produces cytoplasmic or cytoplasmic plus nuclear reactivity.

Ordering Information
Volume:Catalog No:
Concentrated 0.1 mLG0380A
Concentrated 0.5 mLG0380B
Concentrated 1 mLG0380C
Prediluted 6.0 mLG0380AA
Prediluted 3.0 mLG0380BB
Specifications
SpeciesRabbit
CloneEP261
Visualisationcytoplasmic, nuclear
Controlhepatocellular carcinoma, normal liver
Intended UseRUO

Please Fill the below form for Request a quote