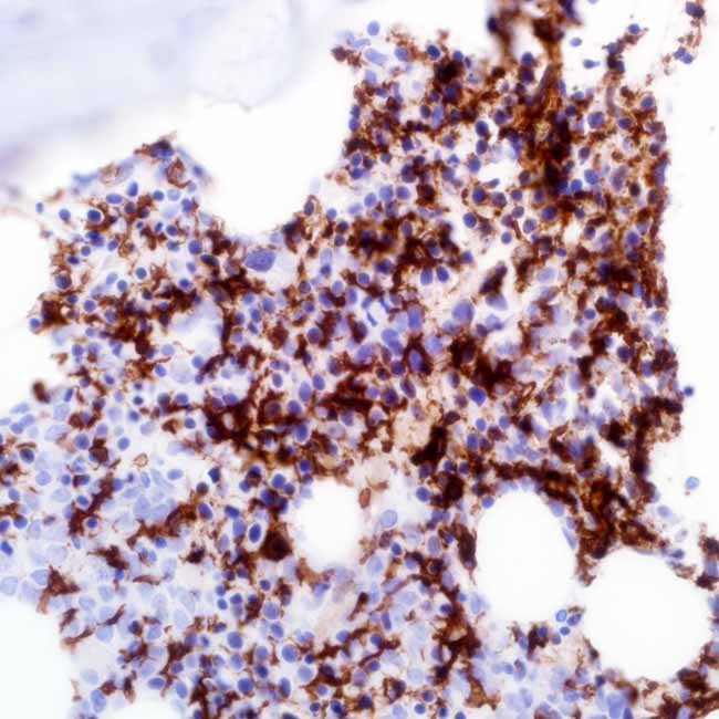
CD16 (SP175)

CD16 serves as a receptor found on both monocytes and natural killer (NK) cells, playing a role in antibody-dependent cellular cytotoxicity. This makes CD16 a valuable identifying molecule in NK cell cancers and particular T-cell cancers, like T-cell large granular lymphocytic leukemia.

Ordering Information
Volume:Catalog No:
Concentrated 0.1 mLG0116 A
Concentrated 0.5 mLG0116 B
Concentrated 1 mLG0116 C
Prediluted 6.0 mLG0116 AA
Prediluted 3.0 mLG0116 BB
Specifications
SpeciesRabbit
CloneSP175
Visualisationcytoplasmic, membranous
ControlTonsil (Cytoplasmic, Membranous)
Intended UseRUO

Please Fill the below form for Request a quote

belajar baru pintar