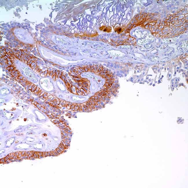
CD44 (MRQ-13)

Glycoproteins in the CD44 group are present as several different versions, with the standard 85-95 kD or hematopoietic variant (CD44s) being the most frequently observed, located in mesodermal cells like hematopoietic, fibroblastic, and glial cells, alongside certain carcinoma cell lines. 1 Epithelial cells have been shown to contain larger molecular weight versions (CD44v), which are believed to be involved in how cells stick together and bind to the stroma. 1 Even though numerous human tumors show CD44, there is evidence of a link between CD44v presence and tumor dedifferentiation.  The use of Anti-CD44 could be beneficial in telling the difference between urothelial carcinoma in-situ and urothelium’s non-cancerous alterations. 

Ordering Information
Volume:Catalog No:
Concentrated 0.1 mLG0144 A
Concentrated 0.5 mLG0144 B
Concentrated 1 mLG0144 C
Prediluted 6.0 mLG0144 AA
Prediluted 3.0 mLG0144 BB
Specifications
SpeciesMouse
CloneMRQ-13
Visualisationmembranous
Controlbenign urothelium
Intended UseRUO

Please Fill the below form for Request a quote

belajar baru pintar