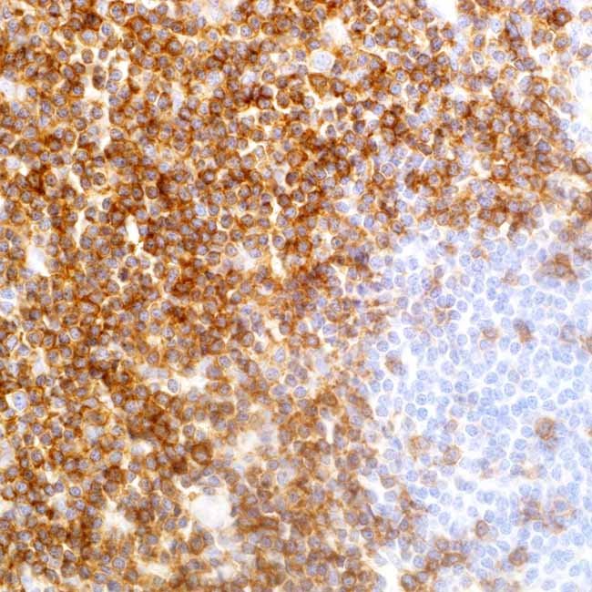
CD5 (EP77)

Anti-CD5 is a pan T-cell marker that also reacts with a range of neoplastic B-cells, e.g. chronic lymphocytic leukemia/small lymphocytic lymphoma (CLL/SLL), mantle cell lymphoma, and a subset (~10%) of diffuse large B-cell lymphoma.  CD5 aberrant expression is useful in identification of mature T-cell neoplasms. Anti-CD5 detection is diagnostic in CLL/SLL within a panel of other B-cell markers, especially one that includes anti-CD23. Anti-CD5 is also very useful in differentiating among mature small lymphoid cell malignancies. In addition, anti-CD5 can be used in distinguishing thymic carcinoma (+) from thymoma (-). Anti-CD5 does not react with granulocytes or monocytes.

Ordering Information
Volume:Catalog No:
Concentrated 0.1 mLG0205 A
Concentrated 0.5 mLG0205 B
Concentrated 1 mLG0205 C
Prediluted 6.0 mLG0205 AA
Prediluted 3.0 mLG0205 BB
Specifications
SpeciesRabbit
CloneEP77
Visualisationmembranous
Controltonsil, lymph node
Intended UseRUO

Please Fill the below form for Request a quote

belajar baru pintar