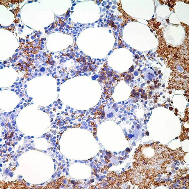
Glycophorin A (GA-R2)

Glycophorins A (GPA) and B (GPB) are sialoglycoproteinswith a single pass membrane. Blood group M and Nspecificities are carried by GPA, whereas S and Uspecificities are accounted for by GPB. It has beenproposed that the broad mucin-like surface that GPA andGPB give the cells acts as a barrier to cell fusion, reducingthe amount of aggregation that occurs between red bloodcells in the bloodstream. Glycophorin The formation oferythroid cells and the diagnosis of erythroid leukaemiashave both been described by an antibody.

Ordering Information
Volume:Catalog No:
Concentrated 0.1 mLG0260A
Concentrated 0.5 mLG0260B
Concentrated 1 mLG0260C
Prediluted 6.0 mLG0260AA
Prediluted 3.0 mLG0260BB
Specifications
SpeciesMouse
CloneGA-R2
VisualisationMembranous
ControlBone Marrow
Intended UseRUO
Package Insert PDFs

Please Fill the below form for Request a quote

belajar baru pintar