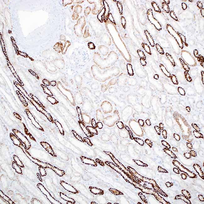
Ksp-cadherin (MRQ-33)

The cadherin family of cell adhesion molecules, which is only present in the basolateral membrane of renal tubular epithelial cells in the distal tubules and collecting duct, includes kidney-specific cadherin (Ksp-cadherin). Ksp-cadherin may be helpful in differentiating between renal tumors originating in the distal nephron and those originating in the proximal tubule.

Ordering Information
Volume:Catalog No:
Concentrated 0.1 mLG0276 A
Concentrated 0.5 mLG0276 B
Concentrated 1 mLG0276 C
Prediluted 6.0 mLG0276 AA
Prediluted 3.0 mLG0276 BB
Specifications
SpeciesMouse
CloneMRQ-33
Visualisationcytoplasmic, membranous
Controlkidney
Intended UseRUO

Please Fill the below form for Request a quote