PAX-2 (EP235)

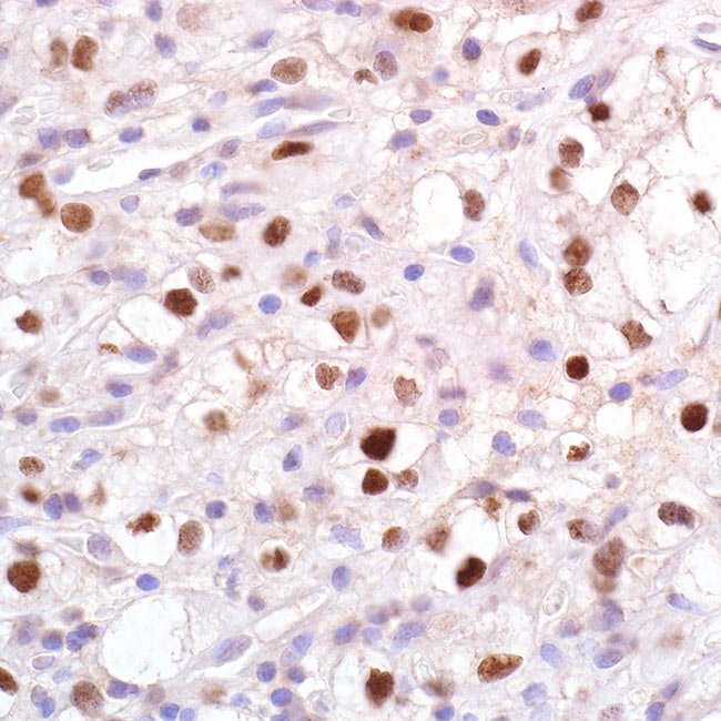
PAX-2 is a homeogene that is highly present during the development of the kidneys. After the ureter bud is induced, the PAX-2 gene is active in the metanephric mesenchyma and plays a crucial role in transforming mesenchyma into epithelium. Transgenic animals with PAX-2 show serious kidney defects and cysts, yet they do not exhibit solid tumor characteristics. The potential for oncogenesis within the PAX gene family has been noted in cell cultures in vitro and through cell injections in nude mice in vivo. Gnarra and colleagues revealed that PAX-2 is present in renal carcinoma cell lines and emphasized its possible involvement in cell growth within these lines. Mazal and his team found PAX-2 to be present in the nuclei of 88% of clear cell renal cell carcinomas, alongside 18% of papillary renal cell carcinomas and 13% of chromophobe renal cell carcinomas. More recently, Chivukula and colleagues highlighted the usefulness of PAX-2 in differentiating ovarian serous papillary carcinoma (which is anti-PAX-2 positive) from breast carcinoma (which is anti-PAX-2 negative).

Ordering Information
Volume:Catalog No:
Concentrated 0.1 mLG0311 A
Concentrated 0.5 mLG0311 B
Concentrated 1 mLG0311 C
Prediluted 6.0 mLG0311 AA
Prediluted 3.0 mLG0311 BB
Specifications
SpeciesRabbit
CloneEP235
Visualisationnuclear
Controlrenal cell carcinoma
Intended UseRUO

Please Fill the below form for Request a quote