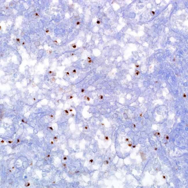
Perforin (MRQ-23)

Granzymes can enter target cells and initiate apoptosis, theprogram that causes cells to die, thanks to the pore-forming protein perforin, which causes osmotic lysis of thetarget cells. Perforin expression is said to be elevated innatural killer cells, activated CD8+ T-cells, and some CD4+T-cells.

Ordering Information
Volume:Catalog No:
Concentrated 0.1 mLG0316 A
Concentrated 0.5 mLG0316B
Concentrated 1 mLG0316C
Prediluted 6.0 mLG0316AA
Prediluted 3.0 mLG0316BB
Specifications
SpeciesMouse
CloneMRQ-23
VisualisationCytoplasmic
ControlSpleen
Intended UseRUO
Package Insert PDFs

Please Fill the below form for Request a quote

belajar baru pintar