SF-1 (EP434)

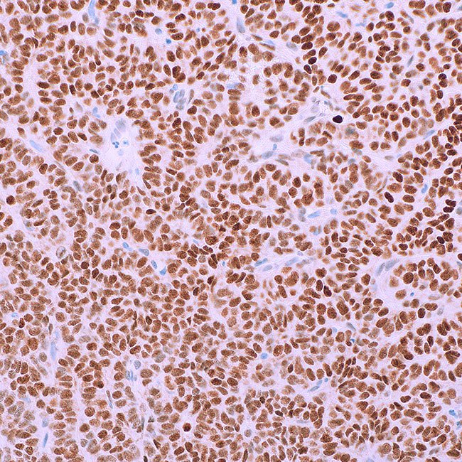
Steroidogenic factor-1 (SF-1) is a crucial regulator ofsteroidogenesis and a nuclear transcription factor as wellas a nuclear receptor. In both reproductive and adrenaltissues, SF-1 has been shown to act as a “master regulator”in a variety of developmental and functional aspects. Sex-cord stromal tumours, such as Leydig cell, Sertoli cell, andgranulosa cell neoplasms, can be distinguished from othertumours by immunohistochemically detecting SF-1 intesticular tissue. Furthermore, the identification of SF-1may be useful in differentiating primary adrenal corticallesions from their histopathological counterparts, such asrenal CLCC.

Ordering Information
Volume:Catalog No:
Concentrated 0.1 mLG0462A
Concentrated 0.5 mLG0462B
Concentrated 1 mLG0462C
Prediluted 6.0 mLG0462AA
Prediluted 3.0 mLG0462BB
Specifications
SpeciesRabbit
CloneEP434
VisualisationNucleus
ControlAdrenocortical carcinoma, Testis, Granulosa cell tumor
Intended UseRUO
Package Insert PDFs

Please Fill the below form for Request a quote

belajar baru pintar