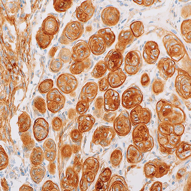
Somatostatin Receptor 2 (SSTR2) (EP149)

The superfamily of G protein-coupled receptors (GPCRs)includes five subtypes of somatostatin receptors, includingSomatostatin Receptor 2 (SSTR2). The SSTR2 gene, which isfound on chromosome 17q25.1, encodes the somatostatinreceptor 2. The hormone somatostatin (SST), which inhibitsboth hormone secretion and gastrointestinal function,activates SSTR2. Additionally, SST and its receptor subtypesinhibit angiogenesis and have anti-proliferative propertiesagainst both malignant and healthy cells. Numerous humantumours have been shown to exhibit significant expressionof somatostatin receptors. IHC revealed thatneuroblastomas, medulloblastomas, paragangliomas,small cell lung malignancies, meningiomas, and breastcancers all had high expression of the somatostatinreceptor 2 antibody. According to one study, a wide rangeof brain and neuroendocrine tumours have elevated andhighly selective expression of the somatostatin receptor 2antibody. Reduced immunohistochemical staining waslinked to an advanced stage of the tumours in anotherstudy that looked at patients with gastroenteropancreaticneuroendocrine neoplasm (GEP-NEN). Furthermore, it wasdiscovered that patients with higher SSTR2 expression hadbetter survival rates, suggesting the potential utility ofSSTR2 as a prognostic indicator for GEP-NEN.

Ordering Information
Volume:Catalog No:
Concentrated 0.1 mLG0486A
Concentrated 0.5 mLG0486B
Concentrated 1 mLG0486C
Prediluted 6.0 mLG0486AA
Prediluted 3.0 mLG0486BB
Specifications
SpeciesRabbit
CloneEP149
VisualisationCytoplasmic, Membranous
ControlMeningioma (Cytoplasmic, Membranous); Pancreas (Cytoplasmic, Membranous); Lymph node (Cytoplasmic, Membranous)
Intended UseRUO
Package Insert PDFs

Please Fill the below form for Request a quote

sabung ayam online

judi bola online

slot gacor 777

slot777

judi bola online

slot Thailand

sabung ayam online

judi bola online

slot thailand

slot777

mahjong ways

sabung ayam online

slot777

live casino online

judi bola online

mahjong slot

sabung ayam online

slot thailand

judi bola online

slot777

live casino online

slot777

judi bola online

sabung ayam online

sabung ayam online

judi bola online

slot777

judi bola online

sabung ayam online

sabung ayam online

judi bola online

live casino online

slot mahjong

slot thailand

judi bola online

live casino online

sabung ayam online

slot mahjong

sabung ayam online

judi bola online

judi bola online

sabung ayam online

mahjong slot

sabung ayam online

judi bola online

judi bola online

sabung ayam online

judi bola online

situs slot gacor

sabung ayam online

mahjong slot

live casino online

judi bola online

judi bola online

sabung ayam online

live casino online

judi bola online

sabung ayam online

live casino online

mahjong slot

judi bola online

sabung ayam online

live casino online

judi bola online

slot Thailand

sabung ayam online

live casino online

slot Thailand

sabung ayam online

judi bola online

judi bola online

sabung ayam online

live casino online

slot777

slot gacor

sabung ayam online

judi bola online

live casino online

situs slot gacor

judi bola online

sabung ayam online

judi bola online

live casino online

slot mahjong

judi bola online

sabung ayam online

judi bola online

sabung ayam online

live casino online

sabung ayam online

judi bola online

mahjong slot

judi bola online

judi bola online

slot mahjong ways

sabung ayam online

judi bola online

slot zeus

live casino online

slot777

judi bola online

sabung ayam online

live casino online

slot777

judi bola online

judi bola online

sabung ayam online

live casino online

judi bola online

sabung ayam online

live casino online

judi bola online

judi bola online

live casino online

judi bola online

judi bola online

sabung ayam online

live casino online

judi bola

judi bola

sabung ayam

live casino

judi bola

judi bola

judi bola

sabung ayam

judi bola

mahjong slot

judi bola

sabung ayam

judi bola

mahjong slot

sabung ayam

sabung ayam

judi bola

judi bola

mahjong slot

sabung ayam

judi bola

sabung ayam

judi bola

sabung ayam

judi bola

live casino

sabung ayam

judi bola

live casino

sabung ayam

sabung ayam

judi bola

sabung ayam

sabung ayam

judi bola

live casino

toto slot

judi bola

slot thailand

judi bola

sabung ayam

judi bola

live casino

slot online

sabung ayam

judi bola

slot777

sabung ayam online

THOR311

THOR311

THOR311

THOR311