TCL1 (MRQ-7)

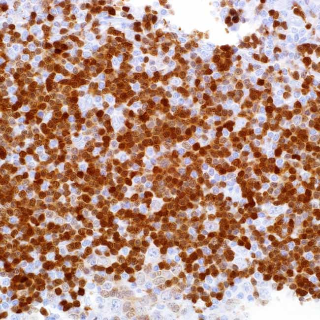
T-cell leukemia/lymphoma protein 1 (TCL1, TCL1A, p14TCL1) is a 14 kDa molecule that originates from the TCL1 gene and plays a role in T-cell prolymphocytic leukemia (T-PLL). Typically, the TCL1 protein is located within the nucleus and cytoplasm of lymphoid cells during the initial stages of embryonic development. TCL1 can be found in mature B-cells in situations that are both reactive and neoplastic, as well as in antigen-specific B-cells and in B-cells found in germinal centers. According to reports, Anti-TCL1 immunohistochemical staining is beneficial for recognizing B-cell lymphomas, including follicular lymphoma and Burkitt lymphoma.1-10

Ordering Information
Volume:Catalog No:
Concentrated 0.1 mLG0357 A
Concentrated 0.5 mLG0357 B
Concentrated 1 mLG0357 C
Prediluted 6.0 mLG0357 AA
Prediluted 3.0 mLG0357 BB
Specifications
SpeciesMouse
CloneMRQ-7
Visualisationcytoplasmic, nuclear
ControlTonsil, B-cell lymphoma
Intended UseRUO

Please Fill the below form for Request a quote

belajar baru pintar