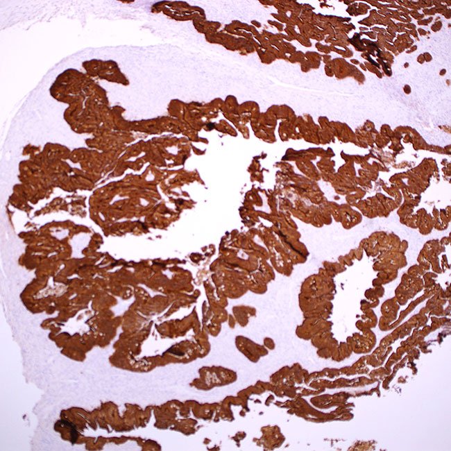
Villin (EP163)

Villin is a glycoprotein weighing 95 kD that is linked to the structure of microvilli found in the epithelial lining of the gastrointestinal tract. Anti-villin identifies the brush border region within the gastrointestinal mucosal epithelium.1 This specific antibody has proven helpful in distinguishing between gastrointestinal adenocarcinomas, neuroendocrine cancers, and ovarian adenocarcinomas, as opposed to adenocarcinomas originating from various other organs. Additionally, this antibody marks the Merkel cells present in the skin.

Ordering Information
Volume:Catalog No:
Concentrated 0.1 mLG0346 A
Concentrated 0.5 mLG0346 B
Concentrated 1 mLG0346 C
Prediluted 6.0 mLG0346 AA
Prediluted 3.0 mLG0346 BB
Specifications
SpeciesRabbit
CloneEP163
Visualisationcytoplasmic, membranous
Controlcolon
Intended UseRUO

Please Fill the below form for Request a quote