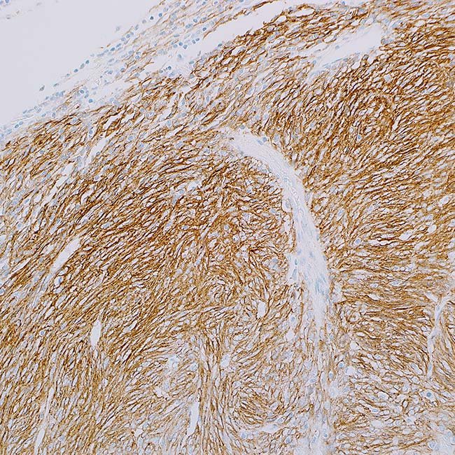
CD35 (EP197)

CD35, also known as complement receptor 1, is a singlechain glycoprotein found on the surface of various cells, such as red blood cells, white blood cells, kidney cells (glomerular podocytes), and follicular dendritic cells. The main job of CD35 is to act as a cell receptor for C3b and C4b, which are key parts of the complement system that help get rid of foreign large moleculesThe Knops blood group system involves antigens that are located on this very protein. The protein helps cells attach to particles and immune complexes that have turned on the complement system.

Follicular dendritic cells (FDC) are only found in the areas of secondary lymphoid follicles where B-cells are locatedThe CD35 antigen can be detected on red blood cells, B cells, some T cells, monocytes, and also on eosinophils and neutrophils. Anti-CD35 is known as a marker for mature B-cells and it identifies follicular dendritic reticulum cells and the cancerous growths that come from these cells, like follicular dendritic cell tumor or sarcoma.

Ordering Information
Volume:Catalog No:
Concentrated 0.1 mLG0135 A
Concentrated 0.5 mLG0135 B
Concentrated 1 mLG0135 C
Prediluted 6.0 mLG0135 AA
Prediluted 3.0 mLG0135 BB
Specifications
SpeciesRabbit
CloneEP197
VisualisationMembranous
ControlTonsil (Membranous)
Intended UseRUO

Please Fill the below form for Request a quote

belajar baru pintar