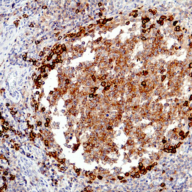
CD38 (EP135)

The ectoenzyme CD38, also known as ADP-ribosyl cyclase,produces second messengers by using nicotinamideadenine dinucleotide (NAD) as a substrate. Specifically, itproduces cyclic ADP-ribose, a second messenger for therelease of insulin triggered by glucose. Additionally, CD38has cADPR hydrolase activity. At both the early and latephases of B- and T-cell maturation, it is preferentiallyexpressed. Numerous haematopoietic and non-hematopoietic cells, including thymic cells, natural killercells, activated T cells, early bone marrow progenitor cells,and B cells at both early and late stages of development,including plasma cells, express CD38. The antigen isprimarily found on B cells in germinal centres and plasmacells in healthy lymph nodes and tonsils. When identifyingplasma cells and tumours with plasmablasticdifferentiation, an antibody to CD38 is useful. It has beenshown that CD38 has a prognostic significance in B-cellchronic lymphocytic leukaemia (CLL). A worse prognosisand unmutated IgVH genes are associated with CD38expression.

Ordering Information
Volume:Catalog No:
Concentrated 0.1 mLG0133 A
Concentrated 0.5 mLG0133B
Concentrated 1 mLG0133 C
Prediluted 6.0 mLG0133AA
Prediluted 3.0 mLG0133BB
Specifications
SpeciesRabbit
CloneEP135
VisualisationMembrane
ControlTonsil, lymphoma
Intended UseRUO
Package Insert PDFs

Please Fill the below form for Request a quote

belajar baru pintar