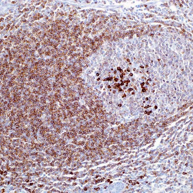
CD79a (JCB117)

Mb-1 (or CD79a) and B29 (or CD79b) polypeptides form adisulphide-linked heterodimer that is non-covalentlycoupled to membrane-bound immunoglobulins on B cells.The B cell Ag receptor is made up of immunoglobulin andthe polypeptide complexes mb-1 and B29. Early inmaturation, CD79a first manifests as a pre-B cell. Itcontinues to exist as an intracellular component until theplasma cell stage. Most acute leukaemias of the progenitorB cell type, B cell lines, B cell lymphomas, and certainmyelomas have CD79a. Neither myeloid nor T cell lineshave it. Following treatment with Rituximab (anti-CD20),anti-CD79a is typically used to supplement anti-CD20,particularly for mature B-cell lymphomas. This antibody ismore likely to stain B-lymphoblastic lymphoma/leukemiathan anti-CD20, but it will also stain many of the samelymphomas as anti-CD20. Additionally, anti-CD79a stainsmore cases of plasma cell myeloma and, on occasion, someendothelial cell types.

Ordering Information
Volume:Catalog No:
Concentrated 0.1 mLG2427B
Concentrated 0.5 mLG2427A
Concentrated 1 mLG2427C
Prediluted 6.0 mLG2427AA
Prediluted 3.0 mLG2427BB
Specifications
SpeciesMouse
CloneJCB117
VisualisationCell membrane
ControlDaudi or Ramos cells. Germinal centre B-cells in a lymph node or tonsil, Raji
Intended UseRUO
Package Insert PDFs

Please Fill the below form for Request a quote