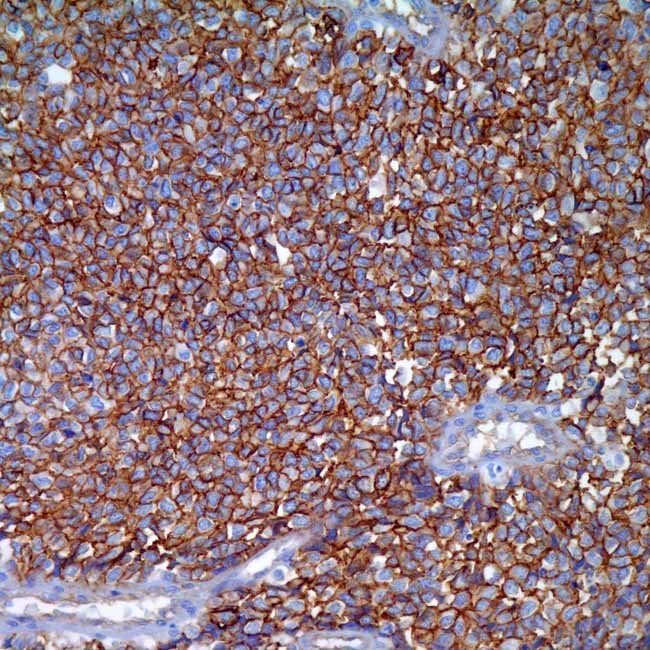
CD99 (EPR3097Y)

CD99, identifiable through a range of antibodies, is found in almost all instances of Ewing’s sarcoma and primitive peripheral neuroectodermal tumors (ES/PNET), showing a distinct and widespread staining of the cell membrane.  CD99 expression can also be seen in other types of tumors, such as neuroendocrine carcinomas, mesenchymal chondrosarcomas, solitary fibrous tumors, synovial sarcomas, vascular tumors, small round blue cell tumors, lymphoblastic lymphoma, acute myeloid leukemia, and myeloid sarcoma.  Nevertheless, when there is a prominent and widespread reaction on the cell membrane for CD99, it is more likely to be ES/PNET rather than these other possibilities.  Typically, other tumors that test positive for CD99 tend to exhibit staining in the cytoplasm that is less consistent. Thus, CD99 should be evaluated alongside a set of other antibodies before reaching a definitive diagnosis.

Ordering Information
Volume:Catalog No:
Concentrated 0.1 mLG0199 A
Concentrated 0.5 mLG0199 B
Concentrated 1 mLG0199 C
Prediluted 6.0 mLG0199 AA
Prediluted 3.0 mLG0199 BB
Specifications
SpeciesRabbit
CloneEPR3097Y
Visualisationmembranous
ControlEwings sarcoma, pancreas
Intended UseRUO

Please Fill the below form for Request a quote