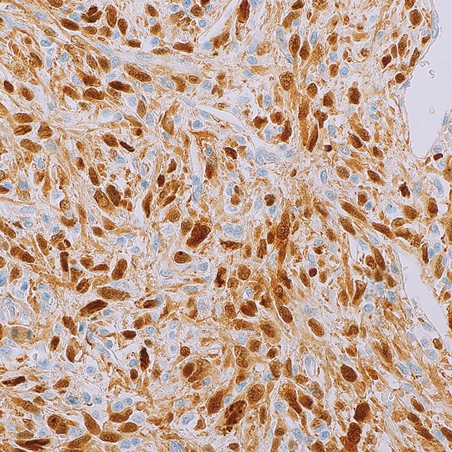
A malignant tumour that does not spread, well-differentiated liposarcoma has a greater recurrence rateand can resemble benign lipoma lesions in histology. Dueto gene amplification of the 12q13-15 chromosomal regionthat contains the CDK4 gene, the CDK4 protein is oftenoverexpressed in well-differentiated liposarcoma; however,lipomas seldom exhibit gene amplification and subsequentoverexpression. Anti-CDK4 antibodies can be utilised in animmunohistochemical panel to help discriminate betweenwell-differentiated liposarcoma and lipoma because of thevariations in CDK4 protein expression between thesediseases.