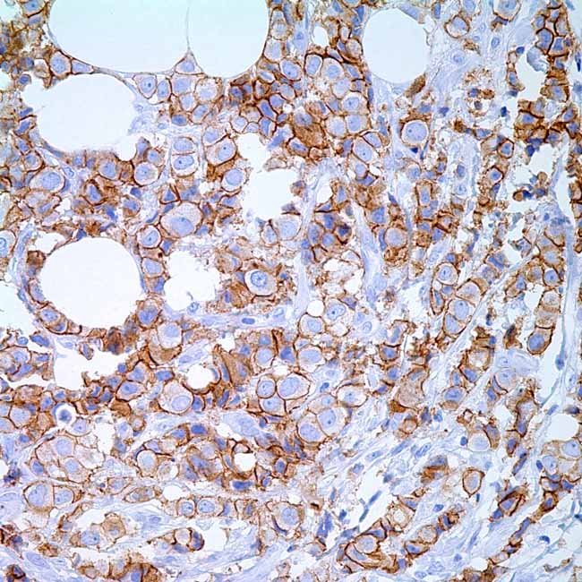
E-cadherin is a transmembrane glycoprotein that plays acritical role in cell–cell adhesion through the formation ofadherens junctions. It is widely expressed in epithelialtissues.Anti-E-cadherin antibody shows positivity in glandularepithelium and carcinomas of the gastrointestinal tract andbreast. Loss or reduction of membranous staining isfrequently observed in lobular breast carcinoma, incontrast to the membranous positivity retained in ductalcarcinoma, making it a valuable marker in breast cancerresearch.In addition, E-cadherin expression has been studied as adifferentiation marker in gastric, colorectal, and pancreatictumors.