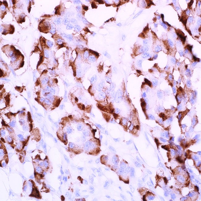
Glucagon (EP74)

Islets of Langerhans in the pancreas include a variety of cell types that cooperate to regulate glucose homeostasis, such as insulin-secreting beta cells and glucagon-secreting alpha cells. Glucagon is a peptide hormone that raises blood glucose via glycogenolysis and gluconeogenesis. Anti-glucagon labels glucagon-secreting cells, regardless of whether they are neoplastic or normal.

Ordering Information
Volume:Catalog No:
Concentrated 0.1 mLG0259 A
Concentrated 0.5 mLG0259 B
Concentrated 1 mLG0259 C
Prediluted 6.0 mLG0259 AA
Prediluted 3.0 mLG0259 BB
Specifications
SpeciesRabbit
CloneEP74
Visualisationcytoplasmic
ControlPancreas, Neuroendocrine tumor, Paraganglioma
Intended UseRUO

Please Fill the below form for Request a quote

belajar baru pintar