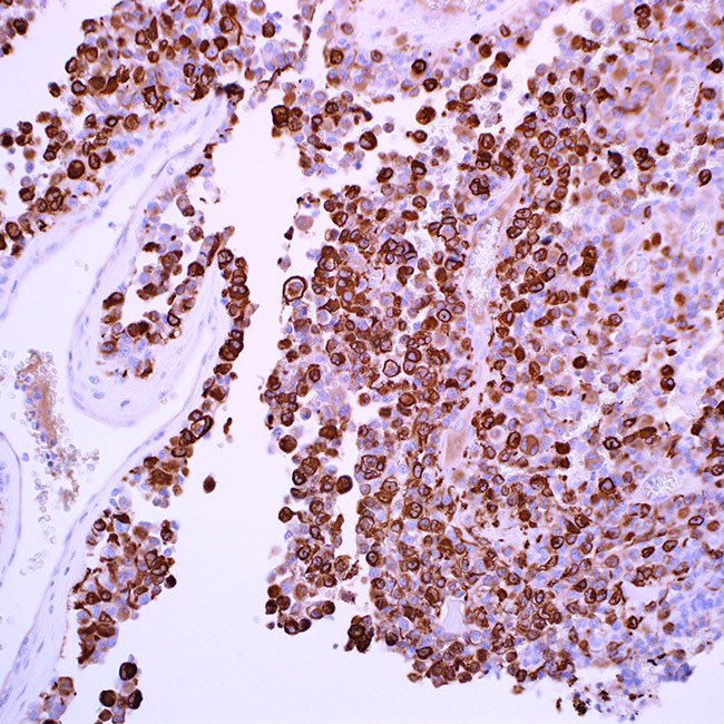
Neurofilament (EP79)

Immunolabeling of neurofilaments (NF) is used to examine the distribution of nerves in both normal and abnormal tissues, along with the differentiation of neurons in tumors. NF can be identified in conditions such as neuromas, ganglioneuromas, gangliogliomas, ganglioneuroblastomas, neuroblastomas, and retinoblastomas. Additionally, neurofilaments are found in paragangliomas, as well as in both adrenal and non-adrenal pheochromocytomas. Conditions like carcinoids, neuroendocrine skin cancers, and small cell lung carcinoma also show neurofilament expression.

Ordering Information
Volume:Catalog No:
Concentrated 0.1 mLG0302 A
Concentrated 0.5 mLG0302 B
Concentrated 1 mLG0302 C
Prediluted 6.0 mLG0302 AA
Prediluted 3.0 mG0302 BB
Specifications
SpeciesRabbit
CloneEP79
Visualisationcytoplasmic
Controlbrain
Intended UseRUO

Please Fill the below form for Request a quote