TSH (EP254)

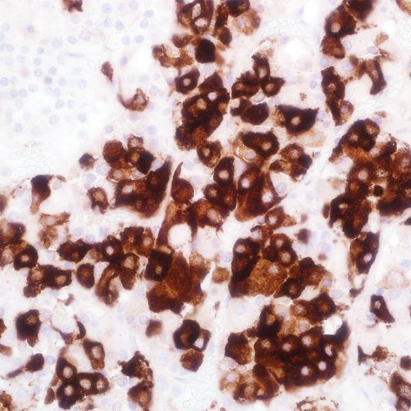
Thyroid-stimulating hormone, commonly called TSH or thyrotropin, is a peptide hormone that is produced and released by thyrotrope cells located in the anterior pituitary gland. It plays a role in controlling the endocrine activities of the thyroid gland. TSH is classified as a glycoprotein and is made up of two subunits, known as the alpha and beta subunits, which are linked to each other without forming covalent bonds. The alpha subunit of TSH can also be found in two other pituitary glycoprotein hormones: Follicle stimulating hormone and luteinizing hormone, as well as in the placental hormone chorionic gonadotropin found in primates. Each of these hormones has its distinct beta subunit, which ensures receptor specificity. To clarify, TSH consists of the alpha subunit connected to the beta subunit of TSH, and it only interacts with its specific receptor. When separated, the alpha and beta subunits have little to no biological function. Anti-TSH interacts with cells that produce TSH (thyrotrophs), serving as an important marker for the classification of pituitary tumors and distinguishing between primary and metastatic tumors in the pituitary gland.

Ordering Information
Volume:Catalog No:
Concentrated 0.1 mLG0211 A
Concentrated 0.5 mLG0211 B
Concentrated 1 mLG0211 C
Prediluted 6.0 mLG0211 AA
Prediluted 3.0 mLG0211 BB
Specifications
SpeciesRabbit
CloneEP254
Visualisationcytoplasmic
Controlpituitary
Intended UseRUO

Please Fill the below form for Request a quote

sabung ayam online

judi bola online

slot gacor 777

slot777

judi bola online

slot Thailand

sabung ayam online

judi bola online

slot thailand

slot777

mahjong ways

sabung ayam online

slot777

live casino online

judi bola online

mahjong slot

sabung ayam online

slot thailand

judi bola online

slot777

live casino online

slot777

judi bola online

sabung ayam online

sabung ayam online

judi bola online

slot777

judi bola online

sabung ayam online

sabung ayam online

judi bola online

live casino online

slot mahjong

slot thailand

judi bola online

live casino online

sabung ayam online

slot mahjong

sabung ayam online

judi bola online

judi bola online

sabung ayam online

mahjong slot

sabung ayam online

judi bola online

judi bola online

sabung ayam online

judi bola online

situs slot gacor

sabung ayam online

mahjong slot

live casino online

judi bola online

judi bola online

sabung ayam online

live casino online

judi bola online

sabung ayam online

live casino online

mahjong slot

judi bola online

sabung ayam online

live casino online

judi bola online

slot Thailand

sabung ayam online

live casino online

slot Thailand

sabung ayam online

judi bola online

judi bola online

sabung ayam online

live casino online

slot777

slot gacor

sabung ayam online

judi bola online

live casino online

situs slot gacor

judi bola online

sabung ayam online

judi bola online

live casino online

slot mahjong

judi bola online

sabung ayam online

judi bola online

sabung ayam online

live casino online

sabung ayam online

judi bola online

mahjong slot

judi bola online

judi bola online

slot mahjong ways

sabung ayam online

judi bola online

slot zeus

live casino online

slot777

judi bola online

sabung ayam online

live casino online

slot777

judi bola online

judi bola online

sabung ayam online

live casino online

judi bola online

sabung ayam online

live casino online

judi bola online

judi bola online

live casino online

judi bola online

judi bola online

sabung ayam online

live casino online

judi bola

judi bola

sabung ayam

live casino

judi bola

judi bola

judi bola

sabung ayam

judi bola

mahjong slot

judi bola

sabung ayam

judi bola

mahjong slot

sabung ayam

sabung ayam

judi bola

judi bola

mahjong slot

sabung ayam

judi bola

sabung ayam

judi bola

sabung ayam

judi bola

live casino

sabung ayam

judi bola

live casino

sabung ayam

sabung ayam

judi bola

sabung ayam

sabung ayam

judi bola

live casino

toto slot

judi bola

slot thailand

judi bola

sabung ayam

judi bola

live casino

slot online

sabung ayam

judi bola

slot777

sabung ayam online

THOR311

THOR311

THOR311

THOR311