STAT6 (EP325)

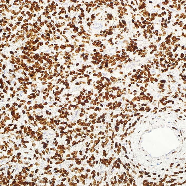
A rabbit monoclonal antibody for immunohistochemistry iscalled STAT6. The gene STAT6 is human. This gene encodesa protein that belongs to the STAT transcription factorfamily. Receptor-associated kinases phosphorylatemembers of the STAT family in response to cytokines andgrowth factors. These members subsequently form homo-or heterodimers and go into the cell nucleus, where theyfunction as transcription activators. This protein is essentialfor triggering biological reactions mediated by IL4. It hasbeen discovered to stimulate the expression ofBCL2L1/BCL-X(L), which is in charge of IL4’s anti-apoptoticproperties. IHC can detect STAT6 protein expression in thenucleus and cytoplasm of many tissues. Solitary fibroustumours (SFT) have been found to exhibit recurrentsomatic fusions of the NGFI-A–binding protein 2 (NAB2)and STAT6 genes, which are situated at chromosomalregion 12q13. In one investigation, nuclear expression ofthe STAT6 antibody, which is typically diffuse and strong,was found in 59% of 60 SFT cases. With the exception ofone deep fibrous histiocytoma and three dedifferentiatedliposarcomas, which displayed mild staining, all othertumour types of soft tumour tissues tested negative forSTAT6. A very sensitive and specific immunohistochemicalmarker for SFT, the STAT6 antibody can be used todifferentiate this tumour type from histologic imitators. Asubset of dedifferentiated liposarcoma has STAT6amplified, which results in STAT6 protein expression thatcan be identified by immunohistochemistry. This could bea problem when trying to discriminate between solitaryfibrous tumour and dedifferentiated liposarcoma. Theseresults demonstrate the genomic complexity andheterogeneity of dedifferentiated liposarcomas and pointto a potential role for STAT6-mediated transcriptionalactivity in certain cases of the disease.

Ordering Information
Volume:Catalog No:
Concentrated 0.1 mLG0426A
Concentrated 0.5 mLG0426B
Concentrated 1 mLG0426C
Prediluted 6.0 mLG0426AA
Prediluted 3.0 mLG0426BB
Specifications
SpeciesRabbit
CloneEP325
VisualisationNuclear, Cytoplasmic
ControlSolitary Fibrous Tumor
Intended UseRUO
Package Insert PDFs

Please Fill the below form for Request a quote

belajar baru pintar